• Tel: 858.663.9055
  • SeparatorEmail: info@nsjbio.com
  • Tel: 858.663.9055
  • Email: info@nsjbio.com
Home >> Antibodies >> ADAMTS13 Antibody

ADAMTS13 Antibody (R32496)

  Catalog No Formulation Size Price (USD)  
Image R32496 0.5mg/ml if reconstituted with 0.2ml sterile DI water 100 ug 439
Bulk quote request
Western blot testing of 1) rat brain, 2) mouse liver and 3) human HepG2 lysate with ADAMTS13 antibody at 0.5ug/ml. Predicted/observed molecular weight ~154 kDa.
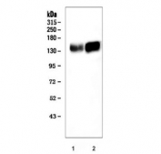
Western blot testing of 1) mouse liver and 2) rat brain tissue lysate with ADAMTS13 antibody. Predicted molecular weight ~154 kDa, may be observed at higher molecular weights due to glycosylation.
Availability 1-3 business days
Species Reactivity Human, Mouse, Rat
Format Antigen affinity purified
Clonality Polyclonal (rabbit origin)
Isotype Rabbit IgG
Purity Antigen affinity
Buffer Lyophilized from 1X PBS with 2.5% BSA and 0.025% sodium azide
UniProt Q76LX8
Localization Cytoplasmic
Applications Western Blot : 0.5-1ug/ml
ELISA : 0.5-1ug/ml (human protein tested); request BSA-free format for coating
Limitations This ADAMTS13 antibody is available for research use only.
Review this product on BioCompare and get a $20 Amazon gift card

Related Products

  • Applications : WB, IHC, ELISA
    Reactivity : Human
  • Applications : WB, Direct ELISA
    Reactivity : Human, Mouse, Rat

Description

ADAMTS13 (A disintegrin and metalloproteinase with athrombospondin type 1 motif, member 13), also known as VWFCP, is a zinc-containing metalloprotease enzyme that cleaves von Willebrand factor (vWf), a large protein involved in blood clotting. It is secreted in blood and degrades large vWf multimers, decreasing their activity. This gene encodes a member of a family of proteins containing several distinct regions, including a metalloproteinase domain, a disintegrin-like domain, and a thrombospondin type 1 (TS) motif. This gene is mapped to 9q34.

Application Notes

Differences in protocols and secondary/substrate sensitivity may require the ADAMTS13 antibody to be titrated for optimal performance.

Immunogen

Amino acids A299-R488 from the human protein were used as the immunogen for the ADAMTS13 antibody.

Storage

After reconstitution, the ADAMTS13 antibody can be stored for up to one month at 4oC. For long-term, aliquot and store at -20oC. Avoid repeated freezing and thawing.

Cross
Bulk Quote Request Form
Name*:
Organization*:
Email*:
Phone Number*:
Catalog No.*:
Comments and Specifics(amount, formulation, etc.)*:
Validation code: Captchapackage Image


Can't read the image? click here to refresh.
    *required field

Your bulk quote request has been submitted successfully!

Please contact us if you have any questions.