• Tel: 858.663.9055
  • SeparatorEmail: info@nsjbio.com
  • Tel: 858.663.9055
  • Email: info@nsjbio.com
Home >> Antibodies >> ADAMTS1 Antibody / A disintegrin and metalloproteinase with thrombospondin motifs 1

ADAMTS1 Antibody / A disintegrin and metalloproteinase with thrombospondin motifs 1 (FY12935)

  Catalog No Formulation Size Price (USD)  
Image FY12935 Adding 0.2 ml of distilled water will yield a concentration of 500 ug/ml 100 ug 439
Bulk quote request
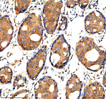
Immunohistochemical staining of ADAMTS1 using anti-ADAMTS1 antibody. ADAMTS1 was detected in a paraffin-embedded section of human breast cancer tissue. Heat mediated antigen retrieval was performed in EDTA buffer (pH 8.0, epitope retrieval solution). The tissue section was blocked with 10% goat serum. The tissue section was then incubated with 2 ug/ml rabbit anti-ADAMTS1 antibody overnight at 4oC. Peroxidase Conjugated Goat Anti-rabbit IgG was used as secondary antibody and incubated for 30 minutes at 37oC. The tissue section was developed using an HRP secondary and DAB substrate.
Western blot analysis of ADAMTS1 using anti-ADAMTS1 antibody. Electrophoresis was performed on a 8% SDS-PAGE gel at 80V (Stacking gel) / 120V (Resolving gel) for 2 hours. Lane 1: human 293T whole cell lysates, Lane 2: human RT4 whole cell lysates. After electrophoresis, proteins were transferred to a nitrocellulose membrane at 150 mA for 50-90 minutes. Blocked the membrane with 5% non-fat milk/TBS for 1.5 hour at RT. The membrane was incubated with rabbit anti-ADAMTS1 antibody at 0.5 ug/ml overnight at 4oC, then washed with TBS-0.1%Tween 3 times with 5 minutes each and probed with a goat anti-rabbit IgG-HRP secondary antibody at a dilution of 1:5000 for 1.5 hour at RT. The signal was developed using an ECL Plus Western Blotting Substrate. A specific band was detected for ADAMTS1 at approximately 105 kDa. The expected molecular weight of ADAMTS1 is ~105 kDa.
Flow Cytometry analysis of 293T cells using anti-ADAMTS1 antibody. Overlay histogram showing 293T cells stained with (Blue line). The cells were fixed with 4% paraformaldehyde and blocked with 10% normal goat serum. And then incubated with rabbit anti-ADAMTS1 antibody (1 ug/million cells) for 30 min at 20oC. DyLight 488 conjugated goat anti-rabbit IgG (5-10 ug/million cells) was used as secondary antibody for 30 minutes at 20oC. Isotype control antibody (Green line) was rabbit IgG (1 ug/million cells) used under the same conditions. Unlabelled sample without incubation with primary antibody and secondary antibody (Red line) was used as a blank control.
Availability 1-2 days
Species Reactivity Human
Format Lyophilized
Clonality Polyclonal (rabbit origin)
Isotype Rabbit IgG
Purity Immunogen affinity purified
Buffer Each vial contains 4 mg Trehalose, 0.9 mg NaCl, 0.2 mg Na2HPO4.
UniProt Q9UHI8
Applications Western Blot : 0.25-0.5ug/ml
Immunohistochemistry : 2-5ug/ml
Flow Cytometry : 1-3ug/million cells
ELISA : 0.1-0.5ug/ml
Limitations This ADAMTS1 antibody is available for research use only.
Review this product on BioCompare and get a $20 Amazon gift card

Related Products

  • Applications : WB
    Reactivity : Mouse, Rat

Description

ADAMTS1 antibody detects A disintegrin and metalloproteinase with thrombospondin motifs 1, a secreted protease involved in extracellular matrix remodeling, angiogenesis, and inflammation. The UniProt recommended name is A disintegrin and metalloproteinase with thrombospondin motifs 1 (ADAMTS1), with alternate names METH1, ADAM-TS1, and protease METH-1. ADAMTS1 belongs to the ADAMTS family of zinc-dependent proteases characterized by metalloprotease, disintegrin-like, and thrombospondin type 1 (TSP-1) domains that coordinate matrix turnover and growth factor regulation.

Functionally, ADAMTS1 antibody recognizes a multi-domain enzyme that cleaves proteoglycans such as aggrecan and versican, controlling tissue remodeling during development, wound healing, and pathological fibrosis. ADAMTS1 also regulates angiogenesis by inhibiting endothelial cell proliferation and migration, in part through sequestration of VEGF signaling. The enzyme is expressed in many tissues including heart, kidney, and placenta, and its upregulation occurs in response to inflammatory cytokines, mechanical stress, and injury. ADAMTS1 participates in ovulation, cardiac morphogenesis, and tumor microenvironment remodeling.

Mutations or dysregulated expression of ADAMTS1 contribute to cardiovascular disease, cancer progression, and arthritis. Studies show reduced ADAMTS1 expression enhances tumor growth by promoting vascularization, whereas overexpression suppresses angiogenesis and metastasis. In the vascular system, ADAMTS1 modulates smooth muscle cell migration and matrix elasticity, maintaining vessel wall integrity. ADAMTS1 antibody is used to evaluate expression patterns and enzymatic activity via immunohistochemistry, zymography, and ELISA assays.

The ADAMTS1 gene, located on chromosome 21q21.3, encodes a 967-amino acid secreted glycoprotein activated by furin cleavage. Post-translational modifications, including glycosylation and proteolytic processing, regulate its localization and activity in the extracellular matrix. Interaction with TIMPs (tissue inhibitors of metalloproteinases) and integrins helps fine-tune its catalytic balance. In development, ADAMTS1 is crucial for follicular rupture during ovulation, kidney branching morphogenesis, and skeletal formation.

By targeting a central ECM protease, the ADAMTS1 antibody enables in-depth study of extracellular remodeling and angiogenic signaling in physiology and pathology. NSJ Bioreagents offers validated antibodies for human, mouse, and rat ADAMTS1 detection suitable for tissue analysis, immunoblotting, and functional proteomics research.

Application Notes

Optimal dilution of the ADAMTS1 antibody should be determined by the researcher.

Immunogen

E.coli-derived human ADAMTS1 recombinant protein (Position: H411-S967) was used as the immunogen for the ADAMTS1 antibody.

Storage

After reconstitution, the ADAMTS1 antibody can be stored for up to one month at 4oC. For long-term, aliquot and store at -20oC. Avoid repeated freezing and thawing.

Cross
Bulk Quote Request Form
Name*:
Organization*:
Email*:
Phone Number*:
Catalog No.*:
Comments and Specifics(amount, formulation, etc.)*:
Validation code: Captchapackage Image


Can't read the image? click here to refresh.
    *required field

Your bulk quote request has been submitted successfully!

Please contact us if you have any questions.