• Tel: 858.663.9055
  • SeparatorEmail: info@nsjbio.com
  • Tel: 858.663.9055
  • Email: info@nsjbio.com
Home >> Antibodies >> ADAM8 Antibody / MS2

ADAM8 Antibody / MS2 (RQ7054)

  Catalog No Formulation Size Price (USD)  
Image RQ7054 0.5mg/ml if reconstituted with 0.2ml sterile DI water 100 ug 439
Bulk quote request
Flow cytometry testing of human U-87 MG cells with ADAM8 antibody at 1ug/million cells (blocked with goat sera); Red=cells alone, Green=isotype control, Blue= ADAM8 antibody.
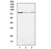
Western blot testing of 1) human Raji, 2) human Caco-2 and 3) rat PC-12 cell lysate with ADAM8 antibody. Predicted molecular weight: ~89/79 kDa (isoforms 1/3).
Availability 1-3 business days
Species Reactivity Human
Format Antigen affinity purified
Clonality Polyclonal (rabbit origin)
Isotype Rabbit IgG
Purity Antigen affinity purified
Buffer Lyophilized from 1X PBS with 2% Trehalose
UniProt P78325
Applications Western Blot : 0.5-1 ug/ml
Flow Cytometry : 1-3ug/million cells
Direct ELISA : 0.1-0.5ug/ml
Limitations This ADAM8 antibody is available for research use only.
Review this product on BioCompare and get a $20 Amazon gift card

Related Products

  • Applications : WB, ELISA (peptide)
    Reactivity : Human

Description

A Disintegrin and metalloproteinase domain-containing protein 8 is an enzyme that in humans is encoded by the ADAM8 gene. This gene encodes a member of the ADAM (a disintegrin and metalloprotease domain) family. Members of this family are membrane-anchored proteins structurally related to snake venom disintegrins, and have been implicated in a variety of biological processes involving cell-cell and cell-matrix interactions, including fertilization, muscle development, and neurogenesis. The protein encoded by this gene may be involved in cell adhesion during neurodegeneration, and it is thought to be a target for allergic respiratory diseases, including asthma. Alternative splicing results in multiple transcript variants.

Application Notes

Optimal dilution of the ADAM8 antibody should be determined by the researcher.

Immunogen

Recombinant human protein (amino acids R41-L290) was used as the immunogen for the ADAM8 antibody.

Storage

After reconstitution, the ADAM8 antibody can be stored for up to one month at 4oC. For long-term, aliquot and store at -20oC. Avoid repeated freezing and thawing.

Cross
Bulk Quote Request Form
Name*:
Organization*:
Email*:
Phone Number*:
Catalog No.*:
Comments and Specifics(amount, formulation, etc.)*:
Validation code: Captchapackage Image


Can't read the image? click here to refresh.
    *required field

Your bulk quote request has been submitted successfully!

Please contact us if you have any questions.