• Tel: 858.663.9055
  • SeparatorEmail: info@nsjbio.com
  • Tel: 858.663.9055
  • Email: info@nsjbio.com
Home >> Antibodies >> Adam17 Antibody

Adam17 Antibody (RQ7140)

  Catalog No Formulation Size Price (USD)  
Image RQ7140 0.5mg/ml if reconstituted with 0.2ml sterile DI water 100 ug 439
Bulk quote request
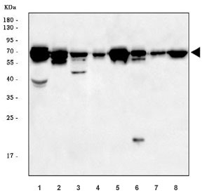
Western blot testing of 1) rat heart, 2) rat skeletal muscle, 3) rat thymus, 4) rat C6, 5) mouse heart, 6) mouse skeletal muscle, 7) mouse thymus and 8) mouse C2C12 cell lysate with Adam17 antibody. Expected molecular weight: 74-130 kDa depending on level of glycosylation
Availability 1-3 business days
Species Reactivity Mouse, Rat
Format Antigen affinity purified
Clonality Polyclonal (rabbit origin)
Isotype Rabbit IgG
Purity Antigen affinity purified
Buffer Lyophilized from 1X PBS with 2% Trehalose
UniProt Q9Z0F8
Applications Western Blot : 0.5-1ug/ml
Direct ELISA : 0.1-0.5ug/ml
Limitations This Adam17 antibody is available for research use only.
Review this product on BioCompare and get a $20 Amazon gift card

Related Products

  • Applications : WB, FACS, ELISA
    Reactivity : Human
  • Applications : WB, ELISA
    Reactivity : Human
  • Applications : WB, IHC-P, ELISA (peptide)
    Reactivity : Human
    Pred. Reactivity : Mouse, Rat
  • Applications : WB, Direct ELISA
    Reactivity : Human, Mouse, Rat

Description

ADAM17 (ADAM metallopeptidase domain 17), also called TACE (tumor necrosis factor-alpha-converting enzyme), is a 70-kDa enzyme that belongs to the ADAM protein family of disintegrins and metalloproteases. Expression studies showed that the encoded protein cleaves precursor tumor necrosis factor-alpha to its mature form. Northern blot analysis revealed that the gene was expressed as a 5-kb mRNA in all tissues examined. ADAM17 is understood to be involved in the processing of tumor necrosis factor alpha (TNF-a) at the surface of the cell, and from within the intracellular membranes of the trans-Golgi network. This process, which is also known as 'shedding', involves the cleavage and release of a soluble ectodomain from membrane-bound pro-proteins (such as pro-TNF-a), and is of known physiological importance. ADAM17 was the first 'sheddase' to be identified, and is also understood to play a role in the release of a diverse variety of membrane-anchored cytokines, cell adhesion molecules, receptors, ligands, and enzymes.

Application Notes

Optimal dilution of the Adam17 antibody should be determined by the researcher.

Immunogen

Recombinant mouse protein (amino acids R215-M449) was used as the immunogen for the Adam17 antibody.

Storage

After reconstitution, the Adam17 antibody can be stored for up to one month at 4oC. For long-term, aliquot and store at -20oC. Avoid repeated freezing and thawing.

Cross
Bulk Quote Request Form
Name*:
Organization*:
Email*:
Phone Number*:
Catalog No.*:
Comments and Specifics(amount, formulation, etc.)*:
Validation code: Captchapackage Image


Can't read the image? click here to refresh.
    *required field

Your bulk quote request has been submitted successfully!

Please contact us if you have any questions.