• Tel: 858.663.9055
  • SeparatorEmail: info@nsjbio.com
  • Tel: 858.663.9055
  • Email: info@nsjbio.com
Home >> Antibodies >> Ada Antibody

Ada Antibody (RQ4049)

  Catalog No Formulation Size Price (USD)  
Image RQ4049 0.5mg/ml if reconstituted with 0.2ml sterile DI water 100 ug 439
Bulk quote request
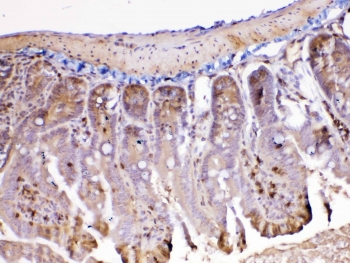
IHC testing of FFPE mouse intestine tissue with Ada antibody at 1ug/ml. Required HIER: steam section in pH6 citrate buffer for 20 min and allow to cool prior to testing.
IHC testing of FFPE rat brain tissue with Ada antibody at 1ug/ml. Required HIER: steam section in pH6 citrate buffer for 20 min and allow to cool prior to testing.
IHC testing of FFPE rat spleen tissue with Ada antibody at 1ug/ml. Required HIER: steam section in pH6 citrate buffer for 20 min and allow to cool prior to testing.
Western blot testing of 1) mouse testis, 2) mouse ovary, 3) rat stomach and 4) rat ovary lysate with Ada antibody at 0.5ug/ml. Predicted molecular weight ~41 kDa.
Availability 1-3 business days
Species Reactivity Mouse, Rat
Format Antigen affinity purified
Clonality Polyclonal (rabbit origin)
Isotype Rabbit IgG
Purity Antigen affinity purified
Buffer Lyophilized from 1X PBS with 2% Trehalose and 0.025% sodium azide
UniProt Q920P6
Applications Western Blot : 0.5-1ug/ml
IHC (FFPE) : 1-2ug/ml
ELISA (Capture) : 0.1-0.5ug/ml
Limitations This Ada antibody is available for research use only.
Review this product on BioCompare and get a $20 Amazon gift card

Related Products

Description

Adenosine Deaminase (also known as Adenosine aminohydrolase, or ADA) is an enzyme involved in purine metabolism. Primarily, ADA in humans is involved in the development and maintenance of the immune system. However, ADA association has also been observed with epithelial cell differentiation, neurotransmission, and gestation maintenance. It has also been proposed that ADA, in addition to adenosine breakdown, stimulates release of excitatory amino acids and is necessary to the coupling of A1 adenosine receptors and heterotrimeric G proteins. Adenosine deaminase deficiency leads to pulmonary fibrosis, suggesting that chronic exposure to high levels of adenosine can exacerbate inflammation responses rather than suppressing them. It has also been recognized that adenosine deaminase protein and activity is upregulated in mouse hearts that overexpress HIF-1 alpha, which in part explains the attenuated levels of adenosine in HIF-1 alpha expressing hearts during ischemic stress.

Application Notes

Optimal dilution of the Ada antibody should be determined by the researcher.

Immunogen

A recombinant rat partial protein corresponding to amino acids A2-H241 was used as the immunogen for the Ada antibody.

Storage

After reconstitution, the Ada antibody can be stored for up to one month at 4oC. For long-term, aliquot and store at -20oC. Avoid repeated freezing and thawing.

Cross
Bulk Quote Request Form
Name*:
Organization*:
Email*:
Phone Number*:
Catalog No.*:
Comments and Specifics(amount, formulation, etc.)*:
Validation code: Captchapackage Image


Can't read the image? click here to refresh.
    *required field

Your bulk quote request has been submitted successfully!

Please contact us if you have any questions.