• Tel: 858.663.9055
  • SeparatorEmail: info@nsjbio.com
  • Tel: 858.663.9055
  • Email: info@nsjbio.com
Home >> Antibodies >> ADA Antibody / Adenosine deaminase

ADA Antibody / Adenosine deaminase [clone 6D4] (RQ4623)

  Catalog No Formulation Size Price (USD)  
Image RQ4623 0.5mg/ml if reconstituted with 0.2ml sterile DI water 100 ug 439
Bulk quote request
Western blot testing of human 1) HeLa, 2) placenta, 3) A549, 4) MCF7, 5) U-937, 6) U-2 OS and 7) Caco-2 lysate with ADA antibody at 0.5ug/ml. Predicted molecular weight ~41 kDa.
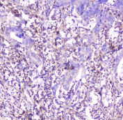
IHC staining of FFPE human colon cancer with ADA antibody at 1ug/ml. HIER: boil tissue sections in pH6, 10mM citrate buffer, for 10-20 min followed by cooling at RT for 20 min.
IHC staining of FFPE human colon cancer with ADA antibody at 1ug/ml. HIER: boil tissue sections in pH6, 10mM citrate buffer, for 10-20 min followed by cooling at RT for 20 min.
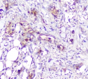
IHC staining of FFPE human rectal cancer with ADA antibody at 1ug/ml. HIER: boil tissue sections in pH6, 10mM citrate buffer, for 10-20 min followed by cooling at RT for 20 min.
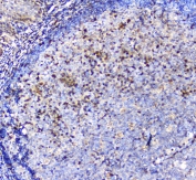
IHC staining of FFPE human tonsil with ADA antibody at 1ug/ml. HIER: boil tissue sections in pH6, 10mM citrate buffer, for 10-20 min followed by cooling at RT for 20 min.
Flow cytometry testing of human U-2 OS cells with ADA antibody at 1ug/10^6 cells (blocked with goat sera); Red=cells alone, Green=isotype control, Blue= ADA antibody.
Availability 1-3 business days
Species Reactivity Human
Format Purified
Clonality Monoclonal (mouse origin)
Isotype Mouse IgG2b
Clone Name 6D4
Purity Protein G affinity
Buffer Lyophilized from 1X PBS with 2% Trehalose and 0.025% sodium azide
UniProt P00813
Applications Western Blot : 0.5-1ug/ml
IHC (FFPE) : 1-2ug/ml
Flow Cytometry : 1-3ug/10^6 cells
Limitations This ADA antibody is available for research use only.
Review this product on BioCompare and get a $20 Amazon gift card

Related Products

Description

Adenosine Deaminase (also known as adenosine aminohydrolase, or ADA) is an enzyme involved in purine metabolism. Primarily, ADA in humans is involved in the development and maintenance of the immune system. However, ADA association has also been observed with epithelial cell differentiation, neurotransmission, and gestation maintenance. It has also been proposed that ADA, in addition to adenosine breakdown, stimulates release of excitatory amino acids and is necessary to the coupling of A1 adenosine receptors and heterotrimeric G proteins. Adenosine deaminase deficiency leads to pulmonary fibrosis, suggesting that chronic exposure to high levels of adenosine can exacerbate inflammation responses rather than suppressing them. It has also been recognized that adenosine deaminase protein and activity is upregulated in mouse hearts that overexpress HIF-1 alpha, which in part explains the attenuated levels of adenosine in HIF-1 alpha expressing hearts during ischemic stress.

Application Notes

Optimal dilution of the ADA antibody should be determined by the researcher.

Immunogen

Amino acids Q135-L363 from the human protein were used as the immunogen for the ADA antibody.

Storage

After reconstitution, the ADA antibody can be stored for up to one month at 4oC. For long-term, aliquot and store at -20oC. Avoid repeated freezing and thawing.

Cross
Bulk Quote Request Form
Name*:
Organization*:
Email*:
Phone Number*:
Catalog No.*:
Comments and Specifics(amount, formulation, etc.)*:
Validation code: Captchapackage Image


Can't read the image? click here to refresh.
    *required field

Your bulk quote request has been submitted successfully!

Please contact us if you have any questions.