• Tel: 858.663.9055
  • SeparatorEmail: info@nsjbio.com
  • Tel: 858.663.9055
  • Email: info@nsjbio.com
Home >> Antibodies >> ACTR1B Antibody

ACTR1B Antibody (R36355)

  Catalog No Formulation Size Price (USD)  
Image R36355-100UG 0.5 mg/ml in 1X TBS, pH7.3, with 0.5% BSA (US sourced) and 0.02% sodium azide 100 ug 449
Bulk quote request
Western blot testing of human heart lysate with ACTR1B antibody at 1ug/ml. Predicted/observed molecular weight: ~45kDa.
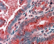
IHC staining of FFPE human uterus with ACTR1B antibody at 4ug/ml. HIER: steamed with pH6 citrate buffer, AP-staining.
Availability 1-3 business days
Species Reactivity Human
Predicted Reactivity Cow, Dog, Mouse, Rat
Format Antigen affinity purified
Clonality Polyclonal (goat origin)
Isotype Goat Ig
Purity Antigen affinity
Gene ID 10120
Applications Western Blot : 0.5-2ug/ml
Immunohistochemistry (FFPE) : 3-5ug/ml
ELISA (peptide) LOD : 1:128000
Limitations This ACTR1B antibody is available for research use only.
Review this product on BioCompare and get a $20 Amazon gift card

Related Products

Description

Additional name(s) for this target protein: ARP1 actin-related protein 1B

Application Notes

Optimal dilution of the ACTR1B antibody should be determined by the researcher.

Immunogen

Amino acids YEEDGSRAIHRKT were used as the immunogen for this ACTR1B antibody.

Storage

Aliquot and store the ACTR1B antibody at -20oC.

Cross
Bulk Quote Request Form
Name*:
Organization*:
Email*:
Phone Number*:
Catalog No.*:
Comments and Specifics(amount, formulation, etc.)*:
Validation code: Captchapackage Image


Can't read the image? click here to refresh.
    *required field

Your bulk quote request has been submitted successfully!

Please contact us if you have any questions.