• Tel: 858.663.9055
  • SeparatorEmail: info@nsjbio.com
  • Tel: 858.663.9055
  • Email: info@nsjbio.com
Home >> Antibodies >> ACTN4 Antibody / Alpha Actinin 4

ACTN4 Antibody / Alpha Actinin 4 (R32459)

  Catalog No Formulation Size Price (USD)  
Image R32459 0.5mg/ml if reconstituted with 0.2ml sterile DI water 100 ug 439
Bulk quote request
Western blot testing of 1) rat skeletal muscle, 2) rat liver, 3) rat lung, 4) rat RH35, 5) mouse skeletal muscle, 6) mouse liver, 7) mouse lung and 8) mouse NIH 3T3 cell lysate with ACTN4 antibody at 0.5ug/ml. Predicted molecular weight ~105 kDa.
Western blot testing of human 1) MCF7, 2) HeLa, 3) HepG2, 4) HT1080, 5) placenta, 6) A549, 7) U-251 MG and 8) RT-4 cell lysate with ACTN4 antibody at 0.5ug/ml. Predicted molecular weight ~105 kDa.
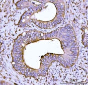
IHC staining of FFPE human colonic adenocarcinoma tissue with ACTN4 antibody. HIER: boil tissue sections in pH8 EDTA for 20 min and allow to cool before testing.
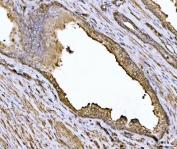
IHC staining of FFPE human prostate cancer tissue with ACTN4 antibody. HIER: boil tissue sections in pH8 EDTA for 20 min and allow to cool before testing.
Immunofluorescent staining of FFPE human HeLa cells with ACTN4 antibody (green) and DAPI nuclear stain (blue). HIER: steam section in pH6 citrate buffer for 20 min.
Flow cytometry testing of human U-87 MG cells with ACTN4 antibody at 1ug/million cells (blocked with goat sera); Red=cells alone, Green=isotype control, Blue= ACTN4 antibody.
Availability 1-3 business days
Species Reactivity Human, Mouse, Rat
Format Antigen affinity purified
Clonality Polyclonal (rabbit origin)
Isotype Rabbit IgG
Purity Antigen affinity
Buffer Lyophilized from 1X PBS with 2% Trehalose
UniProt O43707
Localization Cytoplasmic
Applications Western Blot : 0.5-1ug/ml
Immunohistochemistry (FFPE) : 2-5ug/ml
Immunofluorescence : 5ug/ml
Flow Cytometry : 1-3ug/million cells
Limitations This ACTN4 antibody is available for research use only.
Review this product on BioCompare and get a $20 Amazon gift card

Related Products

Description

Alpha-actinin-4 is a protein that in humans is encoded by the ACTN4 gene. Alpha actinins belong to the spectrin gene superfamily which represents a diverse group of cytoskeletal proteins, including the alpha and beta spectrins and dystrophins. Alpha actinin is an actin-binding protein with multiple roles in different cell types. In nonmuscle cells, the cytoskeletal isoform is found along microfilament bundles and adherens-type junctions, where it is involved in binding actin to the membrane. In contrast, skeletal, cardiac, and smooth muscle isoforms are localized to the Z-disc and analogous dense bodies, where they help anchor the myofibrillar actin filaments. This ACTN4 gene encodes a nonmuscle, alpha actinin isoform which is concentrated in the cytoplasm, and thought to be involved in metastatic processes. Mutations in this gene have been associated with focal and segmental glomerulosclerosis.

Application Notes

Optimal dilution of the ACTN4 antibody should be determined by the researcher.

Immunogen

Amino acids E561-V661 from the human protein were used as the immunogen for the ACTN4 antibody.

Storage

Prior to reconstitution, store at 4oC. After reconstitution, the ACTN4 antibody can be stored for up to one month at 4oC. For long-term, aliquot and store at -20oC. Avoid repeated freezing and thawing.

Cross
Bulk Quote Request Form
Name*:
Organization*:
Email*:
Phone Number*:
Catalog No.*:
Comments and Specifics(amount, formulation, etc.)*:
Validation code: Captchapackage Image


Can't read the image? click here to refresh.
    *required field

Your bulk quote request has been submitted successfully!

Please contact us if you have any questions.