• Tel: 858.663.9055
  • SeparatorEmail: info@nsjbio.com
  • Tel: 858.663.9055
  • Email: info@nsjbio.com
Home >> Antibodies >> ACTN3 Antibody

ACTN3 Antibody (R32494)

  Catalog No Formulation Size Price (USD)  
Image R32494 0.5mg/ml if reconstituted with 0.2ml sterile DI water 100 ug 439
Bulk quote request
Immunofluorescent staining of FFPE mouse skeletal muscle tissue with ACTN3 antibody (green) and DAPI nuclear stain (blue). HIER: steam section in pH8 EDTA buffer for 20 min.
IHC testing of FFPE human lung cancer tissue with ACTN3 antibody at 1ug/ml. HIER: steam sections in pH6 citrate buffer for 20 min.
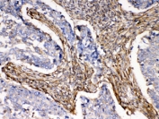
IHC testing of FFPE mouse skeletal muscle with ACTN3 antibody at 1ug/ml. HIER: steam sections in pH6 citrate buffer for 20 min.
IHC testing of FFPE rat skeletal muscle with ACTN3 antibody at 1ug/ml. HIER: steam sections in pH6 citrate buffer for 20 min.
Flow cytometry testing of human WISH cells with ACTN3 antibody at 1ug/million cells (blocked with goat sera); Red=cells alone, Green=isotype control, Blue= ACTN3 antibody.
Western blot testing of 1) human HT1080, 2) rat skeletal muscle, 3) rat skeletal muscle, 4) mouse skeletal muscle and 5) mouse skeletal muscle tissue lysate with ACTN3 antibody at 0.5ug/ml. Predicted molecular weight ~103 kDa.
Availability 1-3 business days
Species Reactivity Human, Mouse, Rat
Format Antigen affinity purified
Clonality Polyclonal (rabbit origin)
Isotype Rabbit IgG
Purity Antigen affinity
Buffer Lyophilized from 1X PBS with 2.5% BSA and 0.025% sodium azide
UniProt Q08043
Localization Cytoplasmic, extracellular
Applications Western Blot : 0.5-1ug/ml
Immunohistochemistry (FFPE) : 1-2ug/ml
Flow Cytometry : 1-3ug/million cells
Immunofluorescence : 5ug/ml
Limitations This ACTN3 antibody is available for research use only.
Review this product on BioCompare and get a $20 Amazon gift card

Related Products

Description

Alpha-actinin-3, also known as alpha-actinin skeletal muscle isoform 3 or F-actin cross-linking protein, is a protein that in humans is encoded by the ACTN3 gene. This gene encodes a member of the alpha-actin binding protein gene family. The encoded protein is primarily expressed in skeletal muscle and functions as a structural component of sarcomeric Z line. This protein is involved in crosslinking actin containing thin filaments. An allelic polymorphism in this gene results in both coding and non-coding variants; the reference genome represents the coding allele. The non-functional allele of this gene is associated with elite athlete status.

Application Notes

Differences in protocols and secondary/substrate sensitivity may require the ACTN3 antibody to be titrated for optimal performance.

Immunogen

Amino acids 574-617 (EADRERGAIMGIQGEIQKICQTYGLRPCSTNPYITLSPQDINTK) from the human protein were used as the immunogen for the ACTN3 antibody.

Storage

After reconstitution, the ACTN3 antibody can be stored for up to one month at 4oC. For long-term, aliquot and store at -20oC. Avoid repeated freezing and thawing.

Cross
Bulk Quote Request Form
Name*:
Organization*:
Email*:
Phone Number*:
Catalog No.*:
Comments and Specifics(amount, formulation, etc.)*:
Validation code: Captchapackage Image


Can't read the image? click here to refresh.
    *required field

Your bulk quote request has been submitted successfully!

Please contact us if you have any questions.