• Tel: 858.663.9055
  • SeparatorEmail: info@nsjbio.com
  • Tel: 858.663.9055
  • Email: info@nsjbio.com
Home >> Antibodies >> ACTN3 Antibody / Alpha Actinin 3

ACTN3 Antibody / Alpha Actinin 3 [clone 9B5] (RQ4625)

  Catalog No Formulation Size Price (USD)  
Image RQ4625 0.5mg/ml if reconstituted with 0.2ml sterile DI water 100 ug 439
Bulk quote request
Western blot tesing of 1) rat skeletal muscle and 2) mouse skeletal muscle lysate with ACTN3 antibody at 0.5ug/ml. Predicted molecular weight ~103 kDa.
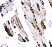
IHC staining of FFPE human skeletal muscle with ACTN3 antibody at 1ug/ml. HIER: boil tissue sections in pH6, 10mM citrate buffer, for 10-20 min followed by cooling at RT for 20 min.
Availability 1-3 business days
Species Reactivity Mouse, Rat
Format Purified
Clonality Monoclonal (mouse origin)
Isotype Mouse IgG1
Clone Name 9B5
Purity Protein G affinity
Buffer Lyophilized from 1X PBS with 2% Trehalose and 0.025% sodium azide
UniProt Q08043
Localization Cytoplasmic, extracellular
Applications Western Blot : 0.5-1ug/ml
IHC (FFPE) : 1-2ug/ml
Review this product on BioCompare and get a $20 Amazon gift card

Related Products

Description

Alpha-actinin-3, also known as alpha-actinin skeletal muscle isoform 3 or F-actin cross-linking protein, is a protein that in humans is encoded by the ACTN3 gene. This gene encodes a member of the alpha-actin binding protein gene family. The encoded protein is primarily expressed in skeletal muscle and functions as a structural component of sarcomeric Z line. This protein is involved in crosslinking actin containing thin filaments. An allelic polymorphism in this gene results in both coding and non-coding variants; the reference genome represents the coding allele. The non-functional allele of this gene is associated with elite athlete status.

Application Notes

Optimal dilution of the ACTN3 antibody should be determined by the researcher.

Immunogen

Amino acids EADRERGAIMGIQGEIQKICQTYGLRPCSTNPYITLSPQDINTK were used as the immunogen for the ACTN3 antibody.

Storage

After reconstitution, the ACTN3 antibody can be stored for up to one month at 4oC. For long-term, aliquot and store at -20oC. Avoid repeated freezing and thawing.

Cross
Bulk Quote Request Form
Name*:
Organization*:
Email*:
Phone Number*:
Catalog No.*:
Comments and Specifics(amount, formulation, etc.)*:
Validation code: Captchapackage Image


Can't read the image? click here to refresh.
    *required field

Your bulk quote request has been submitted successfully!

Please contact us if you have any questions.