• Tel: 858.663.9055
  • SeparatorEmail: info@nsjbio.com
  • Tel: 858.663.9055
  • Email: info@nsjbio.com
Home >> Antibodies >> ACTH Antibody

ACTH Antibody (R31470)

  Catalog No Formulation Size Price (USD)  
Image R31470 0.5mg/ml if reconstituted with 0.2ml sterile DI water 100 ug 439
Bulk quote request
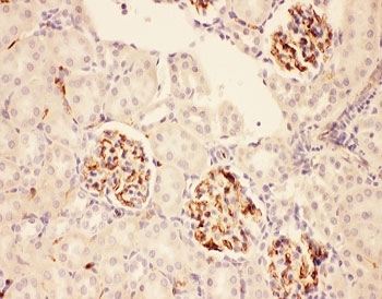
IHC-P: ACTH antibody testing of rat kidney tissue
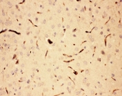
IHC-P: ACTH antibody testing of rat brain tissue
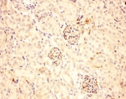
IHC-P: ACTH antibody testing of mouse kidney tissue
Availability 1-3 business days
Species Reactivity Human, Mouse, Rat
Format Antigen affinity purified
Clonality Polyclonal (rabbit origin)
Isotype Rabbit IgG
Purity Antigen affinity
Buffer Lyophilized from 1X PBS with 2.5% BSA and 0.025% sodium azide
Gene ID 5443
Applications IHC (FFPE) : 0.5-1ug/ml
Limitations This ACTH antibody is available for research use only.
Review this product on BioCompare and get a $20 Amazon gift card

Related Products

Description

Adrenocorticotropic hormone (ACTH), also known as Corticotropin, is a polypeptide tropic hormone produced and secreted by the anterior pituitary gland. It is an important component of the hypothalamic-pituitary-adrenal axis and is often produced in response to biological stress (along with its precursor corticotropin-releasing hormone from the hypothalamus). Its principal effects are increased production and release of corticosteroids. ACTH stimulates secretion of glucocorticoid steroid hormones from adrenal cortex cells, especially in the zona fasciculata of the adrenal glands. This gene can influence steroid hormone secretion by both rapid short-term mechanisms that take place within minutes and slower long-term actions. Besides, ACTH also enhances transcription of mitochondrial genes that encode for subunits of mitochondrial oxidative phosphorylation systems.

Application Notes

The stated application concentrations are suggested starting amounts. Titration of the ACTH antibody may be required due to differences in protocols and secondary/substrate sensitivity.

Immunogen

An amino acid sequence from the middle region of human Adrenocorticotropic hormone (SYSMEHFRWGKPVGKKRRPVKVYPNGAEDESAEAFPLEF) was used as the immunogen for this ACTH antibody.

Storage

After reconstitution, the ACTH antibody can be stored for up to one month at 4oC. For long-term, aliquot and store at -20oC. Avoid repeated freezing and thawing.

Cross
Bulk Quote Request Form
Name*:
Organization*:
Email*:
Phone Number*:
Catalog No.*:
Comments and Specifics(amount, formulation, etc.)*:
Validation code: Captchapackage Image


Can't read the image? click here to refresh.
    *required field

Your bulk quote request has been submitted successfully!

Please contact us if you have any questions.