• Tel: 858.663.9055
  • SeparatorEmail: info@nsjbio.com
  • Tel: 858.663.9055
  • Email: info@nsjbio.com
Home >> Antibodies >> ACTH Antibody / CLIP

ACTH Antibody / CLIP [clone ADCT1-1] (V7221)

  Catalog No Formulation Size Price (USD)  
Image V7221-100UG 0.2 mg/ml in 1X PBS with 0.1 mg/ml BSA (US sourced) and 0.05% sodium azide 100 ug 539
Image
V7221-20UG 0.2 mg/ml in 1X PBS with 0.1 mg/ml BSA (US sourced) and 0.05% sodium azide 20 ug 249
Image
V7221SAF-100UG 1 mg/ml in 1X PBS; BSA free, sodium azide free 100 ug 539
Bulk quote request
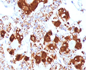
IHC testing of FFPE human pituitary gland with ACTH antibody (clone ADCT1-1).
Species Reactivity Human
Format Purified
Clonality Monoclonal (mouse origin)
Isotype Mouse IgG1, kappa
Clone Name ADCT1-1
Purity Protein G affinity chromatography
Buffer 1X PBS, pH 7.4
Gene ID 5443
Localization Cytoplasmic
Applications Immunohistochemistry (FFPE) : 1-2ug/ml
Limitations This ACTH antibody is available for research use only.
Review this product on BioCompare and get a $20 Amazon gift card

Related Products

Description

ACTH (or Corticotropin) is a 39 amino acid active peptide produced by the anterior pituitary. This mAb is specific to CLIP (aa 25-39) and does not react with Synacthen (aa 1-24). POMC (pro-opiomelanocortin or corticotropin-lipotropin) is a 267 amino acid polypeptide hormone precursor that goes through extensive, tissue-specific posttranslational processing by convertases. POMC is cleaved into ten hormone chains named NPP, ACTH, alpha-MSH (Melanocyte Stimulating Hormone), beta-MSH, gamma-MSH, CLIP (corticotropin-like intermediary peptide), Lipotropin-beta, Lipotropin-gamma, beta-endorphin and Met-enkephalin. ACTH is also produced by cells of immune system (T-cells, B-cells, and macrophages) in response to stimuli associated with stress. Anti-ACTH is a useful marker in classification of pituitary tumors and the study of pituitary disease. It reacts with ACTH-producing cells (corticotrophs). It also may react with other tumors (e.g. some small cell carcinomas of the lung) causing paraneoplastic syndromes by secreting ACTH.

Application Notes

The concentration stated for each application is a general starting point. Variations in protocols, secondaries and substrates may require the ACTH antibody to be titered up or down for optimal performance.

1. Staining of FFPE tissue requires boiling sections in 10mM Citrate Buffer, pH6, for 10-20 min followed by cooling at RT for 20 min.

Immunogen

Amino acids 25-39 (NGAEDESAEAFPLEF) of Adrenocorticotropic hormone (CLIP sequence) were used as the immunogen for this ACTH antibody.

Storage

Store the ACTH antibody at 2-8oC (with azide) or aliquot and store at -20oC or colder (without azide).

Cross
Bulk Quote Request Form
Name*:
Organization*:
Email*:
Phone Number*:
Catalog No.*:
Comments and Specifics(amount, formulation, etc.)*:
Validation code: Captchapackage Image


Can't read the image? click here to refresh.
    *required field

Your bulk quote request has been submitted successfully!

Please contact us if you have any questions.