• Tel: 858.663.9055
  • SeparatorEmail: info@nsjbio.com
  • Tel: 858.663.9055
  • Email: info@nsjbio.com
Home >> Antibodies >> ACSS2 Antibody / Acetyl-coenzyme A synthetase

ACSS2 Antibody / Acetyl-coenzyme A synthetase (RQ7326)

  Catalog No Formulation Size Price (USD)  
Image RQ7326 0.5mg/ml if reconstituted with 0.2ml sterile DI water 100 ug 439
Bulk quote request
Flow cytometry testing of human U-2 OS cells with ACSS2 antibody at 1ug/million cells (blocked with goat sera); Red=cells alone, Green=isotype control, Blue= ACSS2 antibody.
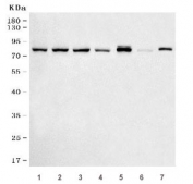
Western blot testing of 1) human HepG2, 2) human HeLa, 3) human U-87 MG, 4) human MCF7, 5) rat liver, 6) rat C6 and 7) mouse liver tissue lysate with ACSS2 antibody. Predicted molecular weight ~79 kDa.
Availability 1-3 business days
Species Reactivity Human, Mouse, Rat
Format Antigen affinity purified
Clonality Polyclonal (rabbit origin)
Isotype Rabbit IgG
Purity Antigen affinity purified
Buffer Lyophilized from 1X PBS with 2% Trehalose
UniProt Q9NR19
Localization Cytoplasmic
Applications Western Blot : 0.5-1ug/ml
Flow Cytometry : 1-3ug/million cells
Direct ELISA : 0.1-0.5ug/ml
Limitations This ACSS2 antibody is available for research use only.
Review this product on BioCompare and get a $20 Amazon gift card

Description

Acyl-coenzyme A synthetase short-chain family member 2 is an enzyme that in humans is encoded by the ACSS2 gene. This gene encodes a cytosolic enzyme that catalyzes the activation of acetate for use in lipid synthesis and energy generation. The protein acts as a monomer and produces acetyl-CoA from acetate in a reaction that requires ATP. Expression of this gene is regulated by sterol regulatory element-binding proteins, transcription factors that activate genes required for the synthesis of cholesterol and unsaturated fatty acids. Alternative splicing results in multiple transcript variants.

Application Notes

Optimal dilution of the ACSS2 antibody should be determined by the researcher.

Immunogen

Recombinant human protein (amino acids E201-A651) was used as the immunogen for the ACSS2 antibody.

Storage

After reconstitution, the ACSS2 antibody can be stored for up to one month at 4oC. For long-term, aliquot and store at -20oC. Avoid repeated freezing and thawing.

Cross
Bulk Quote Request Form
Name*:
Organization*:
Email*:
Phone Number*:
Catalog No.*:
Comments and Specifics(amount, formulation, etc.)*:
Validation code: Captchapackage Image


Can't read the image? click here to refresh.
    *required field

Your bulk quote request has been submitted successfully!

Please contact us if you have any questions.