• Tel: 858.663.9055
  • SeparatorEmail: info@nsjbio.com
  • Tel: 858.663.9055
  • Email: info@nsjbio.com
Home >> Antibodies >> ACSL5 Antibody / FACL5

ACSL5 Antibody / FACL5 (R35791)

  Catalog No Formulation Size Price (USD)  
Image R35791-100UG 0.5 mg/ml in 1X TBS, pH7.3, with 0.5% BSA (US sourced) and 0.02% sodium azide 100 ug 449
Bulk quote request
Western blot testing of human spleen lysate with ACSL5 antibody at 1ug/ml. Predicted molecular weight: ~76 kDa.
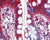
IHC testing of FFPE human small intestine tissue with ACSL5 antibody at 5ug/ml. Required HIER: steamed antigen retrieval with pH6 citrate buffer; AP-staining.
Availability 1-3 business days
Species Reactivity Human
Format Antigen affinity purified
Clonality Polyclonal (goat origin)
Isotype Goat Ig
Purity Antigen affinity
Gene ID 51703
Localization Cytoplasmic
Applications Western Blot : 1-3ug/ml
IHC (FFPE) : 5ug/ml
ELISA (peptide) LOD : 1:16000
Limitations This ACSL5 antibody is available for research use only.
Review this product on BioCompare and get a $20 Amazon gift card

Related Products

Description

Additional name(s) for this target protein: Acyl-CoA synthetase long-chain family member 5; Fatty acid CoA ligase, long chain 5; FACL5

Application Notes

Optimal dilution of the ACSL5 antibody should be determined by the researcher.

1. This ACSL5 antibody will detect isoforms a and b.

Immunogen

Amino acids RTQIDSLYEHIQD were used as the immunogen for this ACSL5 antibody.

Storage

Aliquot and store the ACSL5 antibody at -20oC.

Cross
Bulk Quote Request Form
Name*:
Organization*:
Email*:
Phone Number*:
Catalog No.*:
Comments and Specifics(amount, formulation, etc.)*:
Validation code: Captchapackage Image


Can't read the image? click here to refresh.
    *required field

Your bulk quote request has been submitted successfully!

Please contact us if you have any questions.