• Tel: 858.663.9055
  • SeparatorEmail: info@nsjbio.com
  • Tel: 858.663.9055
  • Email: info@nsjbio.com
Home >> Antibodies >> ACSL4 Antibody

ACSL4 Antibody (R34328)

  Catalog No Formulation Size Price (USD)  
Image R34328-100UG 0.5 mg/ml in 1X TBS, pH7.3, with 0.5% BSA (US sourced) and 0.02% sodium azide 100 ug 449
Bulk quote request
Western blot testing of HepG2 lysate with ACSL4 antibody at 0.1ug/ml. Predicted molecular weight: ~80 kDa (long form), ~74 kDa (short form).
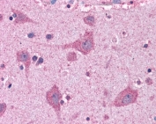
IHC testing of FFPE human cortex (brain) tissue with ACSL4 antibody at 3.75ug/ml. Required HIER: steamed antigen retrieval with pH6 citrate buffer; AP-staining.
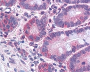
IHC testing of FFPE human small intestine tissue with ACSL4 antibody at 3.75ug/ml. Required HIER: steamed antigen retrieval with pH6 citrate buffer; AP-staining.
Immunofluorescent staining of fixed and permeabilized human HeLa cells with ACSL4 antibody (green) at 10ug/ml and DAPI nuclear stain (blue).
Availability 1-3 business days
Species Reactivity Human
Predicted Reactivity Mouse, Rat, Dog, Pig, Cow
Format Antigen affinity purified
Clonality Polyclonal (goat origin)
Isotype Goat Ig
Purity Antigen affinity
Gene ID 2182
Localization Cytoplasmic
Applications Western Blot : 0.1-0.3ug/ml
Immunohistochemistry (FFPE) : 3.75ug/ml
Immunofluorescence (FFPE) : 10ug/ml
ELISA (peptide) LOD : 1:128000
Limitations This ACSL4 antibody is available for research use only.
Review this product on BioCompare and get a $20 Amazon gift card

Related Products

  • Applications : WB, IHC-P, IF, FACS
    Reactivity : Human
  • Applications : WB, ELISA
    Reactivity : Human
    Pred. Reactivity : Mouse, Rat
  • Applications : WB, Direct ELISA
    Reactivity : Human, Mouse, Rat

Description

Additional name(s) for this target protein: Acyl-CoA synthetase long-chain family member 4, FACL4, Fatty-acid-Coenzyme A ligase, long-chain 4

Application Notes

Optimal dilution of the ACSL4 antibody should be determined by the researcher.

1. This ACSL4 antibody is specific for isoforms 1 and 2.

Immunogen

Amino acids HYLKDIERMYGGK were used as the immunogen for this ACSL4 antibody.

Storage

Aliquot and store the ACSL4 antibody at -20oC.

Cross
Bulk Quote Request Form
Name*:
Organization*:
Email*:
Phone Number*:
Catalog No.*:
Comments and Specifics(amount, formulation, etc.)*:
Validation code: Captchapackage Image


Can't read the image? click here to refresh.
    *required field

Your bulk quote request has been submitted successfully!

Please contact us if you have any questions.