• Tel: 858.663.9055
  • SeparatorEmail: info@nsjbio.com
  • Tel: 858.663.9055
  • Email: info@nsjbio.com
Home >> Antibodies >> ACSL1 Antibody

ACSL1 Antibody (R32493)

  Catalog No Formulation Size Price (USD)  
Image R32493 0.5mg/ml if reconstituted with 0.2ml sterile DI water 100 ug 439
Bulk quote request
Western blot testing of 1) rat liver, 2) mouse HEPA and 3) A549 lysate with ACSL1 antibody at 0.5ug/ml. Predicted molecular weight ~78 kDa.
IHC testing of FFPE human liver cancer tissue with ACSL1 antibody at 1ug/ml. HIER: steam sections in pH6 citrate buffer for 20 min.
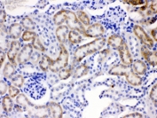
IHC testing of FFPE mouse kidney tissue with ACSL1 antibody at 1ug/ml. HIER: steam sections in pH6 citrate buffer for 20 min.
IHC testing of FFPE rat kidney tissue with ACSL1 antibody at 1ug/ml. HIER: steam sections in pH6 citrate buffer for 20 min.
Availability 1-3 business days
Species Reactivity Human, Mouse, Rat
Format Antigen affinity purified
Clonality Polyclonal (rabbit origin)
Isotype Rabbit IgG
Purity Antigen affinity
Buffer Lyophilized from 1X PBS with 2.5% BSA and 0.025% sodium azide
UniProt P33121
Localization Cytoplasmic
Applications Western Blot : 0.5-1ug/ml
IHC (FFPE) : 1-2ug/ml
Limitations This ACSL1 antibody is available for research use only.
Review this product on BioCompare and get a $20 Amazon gift card

Related Products

  • Applications : WB, ELISA
    Reactivity : Human

Description

Long-chain-fatty-acid—CoA ligase 1 is an enzyme that in humans is encoded by the ACSL1 gene. The protein encoded by this gene is an isozyme of the long-chain fatty-acid-coenzyme A ligase family. Although differing in substrate specificity, subcellular localization, and tissue distribution, all isozymes of this family convert free long-chain fatty acids into fatty acyl-CoA esters, and thereby play a key role in lipid biosynthesis and fatty acid degradation. Several transcript variants encoding different isoforms have been found for this gene. This specific protein is most commonly found in mitochondria and peroxisomes.

Application Notes

Differences in protocols and secondary/substrate sensitivity may require the ACSL1 antibody to be titrated for optimal performance.

Immunogen

Amino acids D604-V698 from the human protein were used as the immunogen for the ACSL1 antibody.

Storage

After reconstitution, the ACSL1 antibody can be stored for up to one month at 4oC. For long-term, aliquot and store at -20oC. Avoid repeated freezing and thawing.

Cross
Bulk Quote Request Form
Name*:
Organization*:
Email*:
Phone Number*:
Catalog No.*:
Comments and Specifics(amount, formulation, etc.)*:
Validation code: Captchapackage Image


Can't read the image? click here to refresh.
    *required field

Your bulk quote request has been submitted successfully!

Please contact us if you have any questions.