• Tel: 858.663.9055
  • SeparatorEmail: info@nsjbio.com
  • Tel: 858.663.9055
  • Email: info@nsjbio.com
Home >> Antibodies >> ACSBG2 Antibody / BGR

ACSBG2 Antibody / BGR (F55044)

  Catalog No Formulation Size Price (USD)  
Image F55044-0.4ML In 1X PBS, pH 7.4, with 0.09% sodium azide 0.4 ml 429
Image
F55044-0.08ML In 1X PBS, pH 7.4, with 0.09% sodium azide 0.08 ml 199
Bulk quote request
Western blot testing of human K562 cell lysate with ACSBG2 antibody. Expected molecular weight: 75-80 kDa.
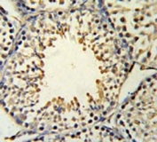
IHC testing of FFPE mouse testis tissue with ACSBG2 antibody. HIER: steam section in pH6 citrate buffer for 20 min and allow to cool prior to staining.
Flow cytometry testing of human K562 cells with ACSBG2 antibody; Blue=isotype control, Green= ACSBG2 antibody.
Availability 1-3 business days
Species Reactivity Human
Format Purified
Clonality Polyclonal (rabbit origin)
Isotype Rabbit Ig
Purity Antigen affinity purified
UniProt Q5FVE4
Localization Cytoplasmic
Applications Flow Cytometry : 1:10-1:50 (1x10e6 cells)
Immunohistochemistry (FFPE) : 1:50-1:100
Western Blot : 1:500-1:1000
Limitations This ACSBG2 antibody is available for research use only.
Review this product on BioCompare and get a $20 Amazon gift card

Description

Acyl-CoA synthetase bubblegum family member 2 / Bubblegum-related protein catalyzes the conversion of fatty acids such as long chain and very long-chain fatty acids to their active form acyl-CoAs for both synthesis of cellular lipids, and degradation via beta-oxidation. [UniProt]

Application Notes

The stated application concentrations are suggested starting points. Titration of the ACSBG2 antibody may be required due to differences in protocols and secondary/substrate sensitivity.

Immunogen

A portion of amino acids 237-265 from the human protein was used as the immunogen for the ACSBG2 antibody.

Storage

Aliquot the ACSBG2 antibody and store frozen at -20oC or colder. Avoid repeated freeze-thaw cycles.

Cross
Bulk Quote Request Form
Name*:
Organization*:
Email*:
Phone Number*:
Catalog No.*:
Comments and Specifics(amount, formulation, etc.)*:
Validation code: Captchapackage Image


Can't read the image? click here to refresh.
    *required field

Your bulk quote request has been submitted successfully!

Please contact us if you have any questions.