• Tel: 858.663.9055
  • SeparatorEmail: info@nsjbio.com
  • Tel: 858.663.9055
  • Email: info@nsjbio.com
Home >> Antibodies >> ACPP Antibody / Prostatic Acid Phosphatase / PAP

ACPP Antibody / Prostatic Acid Phosphatase / PAP (F50540)

  Catalog No Formulation Size Price (USD)  
Image F50540-0.4ML In 1X PBS, pH 7.4, with 0.09% sodium azide 0.4 ml 429
Image
F50540-0.08ML In 1X PBS, pH 7.4, with 0.09% sodium azide 0.08 ml 199
Bulk quote request
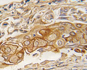
IHC analysis of FFPE human lung carcinoma tissue stained with ACPP antibody
Western blot analysis of ACPP antibody and mouse lung tissue lysate. Expected molecular weight: 45-50 kDa.
Availability 1-3 business days
Species Reactivity Human
Format Purified
Clonality Polyclonal (rabbit origin)
Isotype Rabbit Ig
Purity Purified
UniProt P15309
Localization Cytoplasmic
Applications Western Blot : 1:1:500-1000
IHC (Paraffin) : 1:10-1:50
Limitations This ACPP antibody is available for research use only.
Review this product on BioCompare and get a $20 Amazon gift card

Related Products

Description

Prostatic acid phosphatase is an enzyme which catalyzes the conversion of orthophosphoric monoester to alcohol and orthophosphate. It is synthesized under androgen regulation and is secreted by the epithelial cells of the prostate gland.

Application Notes

Titration of the ACPP antibody may be required due to differences in protocols and secondary/substrate sensitivity.

Immunogen

A portion of amino acids 313-341 from the human protein was used as the immunogen for this ACPP antibody.

Storage

Aliquot the ACPP antibody and store frozen at -20oC or colder. Avoid repeated freeze-thaw cycles.

Cross
Bulk Quote Request Form
Name*:
Organization*:
Email*:
Phone Number*:
Catalog No.*:
Comments and Specifics(amount, formulation, etc.)*:
Validation code: Captchapackage Image


Can't read the image? click here to refresh.
    *required field

Your bulk quote request has been submitted successfully!

Please contact us if you have any questions.