• Tel: 858.663.9055
  • SeparatorEmail: info@nsjbio.com
  • Tel: 858.663.9055
  • Email: info@nsjbio.com
Home >> Antibodies >> ACP3 Antibody / Acid phosphatase 3 / PSAP

ACP3 Antibody / Acid phosphatase 3 / PSAP [clone ACPP/2472] (V5001)

  Catalog No Formulation Size Price (USD)  
Image V5001-100UG 0.2 mg/ml in 1X PBS with 0.1 mg/ml BSA (US sourced), 0.05% sodium azide 100 ug 539
Image
V5001-20UG 0.2 mg/ml in 1X PBS with 0.1 mg/ml BSA (US sourced), 0.05% sodium azide 20 ug 249
Image
V5001SAF-100UG 1 mg/ml in 1X PBS; BSA free, sodium azide free 100 ug 539
Bulk quote request
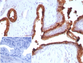
IHC staining of FFPE human prostate carcinoma tissue with ACP3 antibody (clone ACPP/2472). Inset: PBS used in place of primary Ab (secondary Ab negative control). HIER: boil tissue sections in pH 9 10mM Tris with 1mM EDTA for 20 min and allow to cool before testing.
Availability 1-3 business days
Species Reactivity Human
Format Purified
Clonality Monoclonal (mouse origin)
Isotype Mouse IgG1, kappa
Clone Name ACPP/2472
Purity Protein A/G affinity
UniProt P15309
Localization Cytoplasm
Applications Immunohistochemistry (FFPE) : 0.5-1ug/ml for 30 minutes at RT
Limitations This ACP3 antibody is available for research use only.
Review this product on BioCompare and get a $20 Amazon gift card

Related Products

Description

Recognizes a protein of 52kDa, identified as prostate specific acid phosphatase (PSAP) and Acid phosphatase 3 (APC3). This enzyme catalyzes the conversion of orthophosphoric monoester to alcohol and orthophosphate. It is synthesized under androgen regulation and is secreted by the epithelial cells of the prostate gland. PSAP is found in non-neoplastic adult and fetal prostatic glands, primary and metastatic prostatic carcinomas. It shows no staining in granulocytes, osteoclasts, parietal cells of the stomach, liver cells, renal cell or breast carcinomas.

Application Notes

Optimal dilution of the ACP3 antibody should be determined by the researcher.

Immunogen

Recombinant full-length human protein was used as the immunogen for the ACP3 antibody.

Storage

Aliquot the ACP3 antibody and store frozen at -20oC or colder. Avoid repeated freeze-thaw cycles.

Cross
Bulk Quote Request Form
Name*:
Organization*:
Email*:
Phone Number*:
Catalog No.*:
Comments and Specifics(amount, formulation, etc.)*:
Validation code: Captchapackage Image


Can't read the image? click here to refresh.
    *required field

Your bulk quote request has been submitted successfully!

Please contact us if you have any questions.