• Tel: 858.663.9055
  • SeparatorEmail: info@nsjbio.com
  • Tel: 858.663.9055
  • Email: info@nsjbio.com
Home >> Antibodies >> Aconitase 2 Antibody

Aconitase 2 Antibody (R35301)

  Catalog No Formulation Size Price (USD)  
Image R35301-100UG 0.5 mg/ml in 1X TBS, pH7.3, with 0.5% BSA (US sourced) and 0.02% sodium azide 100 ug 449
Bulk quote request
Western blot testing of heart lysate with Aconitase 2 antibody at 0.01ug/ml. Predicted molecular weight: ~85kDa.
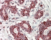
IHC staining of FFPE human breast with Aconitase 3 antibody at 3.8ug/ml. HIER: steamed with pH6 citrate buffer, AP-staining.
Availability 1-3 business days
Species Reactivity Human
Predicted Reactivity Cow, Dog, Mouse, Pig, Rat
Format Antigen affinity purified
Clonality Polyclonal (goat origin)
Isotype Goat Ig
Purity Antigen affinity
Gene ID 50
Localization Cytoplasmic
Applications Western Blot : 0.01-0.03ug/ml
Immunohistochemistry (FFPE) : 3-5ug/ml
Immunofluorescence : suitable but weak signal
ELISA (peptide) LOD : 1:32000
Limitations This Aconitase 2 antibody is available for research use only.
Review this product on BioCompare and get a $20 Amazon gift card

Related Products

  • Applications : WB, IHC-P
    Reactivity : Human, Mouse, Rat
  • Applications : WB, IHC, ELISA (peptide)
    Reactivity : Human, Mouse, Rat, Pig
  • Applications : WB, IHC, IF, ELISA (peptide)
    Reactivity : Human
    Pred. Reactivity : Cow, Dog, Mouse, Pig, Rat
  • Applications : WB
    Reactivity : Human, Mouse, Rat
  • Applications : WB, IHC, ELISA
    Reactivity : Human
  • Applications : WB, IHC, ELISA
    Reactivity : Human, Mouse, Rat
    Pred. Reactivity : Bovine, Pig
  • Applications : WB, ELISA (peptide)
    Reactivity : Human, Mouse, Rat, Pig

Description

Additional name(s) for this target protein: ACONM, ACO2, aconitate hydratase 2

Application Notes

Optimal dilution of the Aconitase 2 antibody should be determined by the researcher.

Immunogen

Amino acids QHVDVSPTSQRLQ were used as the immunogen for this Aconitase 2 antibody.

Storage

Aliquot and store the Aconitase 2 antibody at -20oC.

Cross
Bulk Quote Request Form
Name*:
Organization*:
Email*:
Phone Number*:
Catalog No.*:
Comments and Specifics(amount, formulation, etc.)*:
Validation code: Captchapackage Image


Can't read the image? click here to refresh.
    *required field

Your bulk quote request has been submitted successfully!

Please contact us if you have any questions.