• Tel: 858.663.9055
  • SeparatorEmail: info@nsjbio.com
  • Tel: 858.663.9055
  • Email: info@nsjbio.com
Home >> Antibodies >> Aconitase 2 Antibody

Aconitase 2 Antibody (R35230)

  Catalog No Formulation Size Price (USD)  
Image R35230-100UG 0.5 mg/ml in 1X TBS, pH7.3, with 0.5% BSA (US sourced) and 0.02% sodium azide 100 ug 449
Bulk quote request
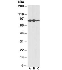
Western blot of human (A), mouse (B) and rat (C) adipose lysates with Aconitase 2 antibody at 0.1ug/ml. Predicted molecular weight: ~85kDa.
IHC staining of FFPE human breast with Aconitase 2 antibody at 3.8ug/ml. HIER: steamed with pH6 citrate buffer, AP-staining.
Western blot of mouse (A), rat (B) and pig (C) skeletal muscle lysates with Aconitase 2 antibody at 0.01ug/ml. Predicted molecular weight: ~85kDa.
Western blot testing of human heart lysate with Aconitase 2 antibody at 0.01ug/ml. Predicted molecular weight: ~85kDa.
Availability 1-3 business days
Species Reactivity Human, Mouse, Rat, Pig
Format Antigen affinity purified
Clonality Polyclonal (goat origin)
Isotype Goat Ig
Purity Antigen affinity
UniProt Q99798
Gene ID 50
Localization Cytoplasmic
Applications Western Blot : 0.01-0.03ug/ml
Immunohistochemistry (FFPE) : 3-5ug/ml
ELISA (peptide) LOD : 1:16000
Limitations This Aconitase 2 antibody is available for research use only.
Review this product on BioCompare and get a $20 Amazon gift card

Related Products

  • Applications : WB, IHC-P
    Reactivity : Human, Mouse, Rat
  • Applications : WB, IHC, IF, ELISA (peptide)
    Reactivity : Human
    Pred. Reactivity : Cow, Dog, Mouse, Pig, Rat
  • Applications : WB, IHC, IF, ELISA (peptide)
    Reactivity : Human
    Pred. Reactivity : Cow, Dog, Mouse, Pig, Rat
  • Applications : WB
    Reactivity : Human, Mouse, Rat
  • Applications : WB, IHC, ELISA
    Reactivity : Human
  • Applications : WB, IHC, ELISA
    Reactivity : Human, Mouse, Rat
    Pred. Reactivity : Bovine, Pig
  • Applications : WB, ELISA (peptide)
    Reactivity : Human, Mouse, Rat, Pig

Description

Additional name(s) for this target protein: Aconitate hydratase 2; ACO2

Application Notes

Optimal dilution of the Aconitase 2 antibody should be determined by the researcher.

Immunogen

Amino acids QDTYQHPPKDSSGQH were used as the immunogen for this Aconitase 2 antibody.

Storage

Aliquot and store the Aconitase 2 antibody at -20oC.

Cross
Bulk Quote Request Form
Name*:
Organization*:
Email*:
Phone Number*:
Catalog No.*:
Comments and Specifics(amount, formulation, etc.)*:
Validation code: Captchapackage Image


Can't read the image? click here to refresh.
    *required field

Your bulk quote request has been submitted successfully!

Please contact us if you have any questions.