• Tel: 858.663.9055
  • SeparatorEmail: info@nsjbio.com
  • Tel: 858.663.9055
  • Email: info@nsjbio.com
Home >> Antibodies >> Aconitase 2 Antibody / ACO2

Aconitase 2 Antibody / ACO2 (R32458)

  Catalog No Formulation Size Price (USD)  
Image R32458 0.5mg/ml if reconstituted with 0.2ml sterile DI water 100 ug 439
Bulk quote request
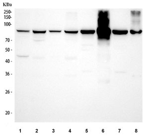
Western blot testing of 1) human HeLa, 2) human U-87 MG, 3) human Jurkat, 4) human HepG2, 5) rat brain, 6) rat skeletal muscle, 7) mouse brain and 8) mouse skeletal muscle tissue lysate with Aconitase 2 antibody. Predicted molecular weight: ~85 kDa.
Availability 1-3 business days
Species Reactivity Human, Mouse, Rat
Format Antigen affinity purified
Clonality Polyclonal (rabbit origin)
Isotype Rabbit IgG
Purity Antigen affinity
Buffer Lyophilized from 1X PBS with 2% Trehalose
UniProt Q99798
Localization Cytoplasmic
Applications Western Blot : 0.5-1ug/ml
Limitations This Aconitase 2 antibody is available for research use only.
Review this product on BioCompare and get a $20 Amazon gift card

Related Products

  • Applications : WB, IHC-P
    Reactivity : Human, Mouse, Rat
  • Applications : WB, IHC, ELISA (peptide)
    Reactivity : Human, Mouse, Rat, Pig
  • Applications : WB, IHC, IF, ELISA (peptide)
    Reactivity : Human
    Pred. Reactivity : Cow, Dog, Mouse, Pig, Rat
  • Applications : WB, IHC, IF, ELISA (peptide)
    Reactivity : Human
    Pred. Reactivity : Cow, Dog, Mouse, Pig, Rat
  • Applications : WB, IHC, ELISA
    Reactivity : Human
  • Applications : WB, IHC, ELISA
    Reactivity : Human, Mouse, Rat
    Pred. Reactivity : Bovine, Pig
  • Applications : WB, ELISA (peptide)
    Reactivity : Human, Mouse, Rat, Pig

Description

Aconitase 2, mitochondrial is a protein that in humans is encoded by the ACO2 gene. The protein encoded by this gene belongs to the aconitase/IPM isomerase family. It is an enzyme that catalyzes the interconversion of citrate to isocitrate via cis-aconitate in the second step of the TCA cycle. This protein is encoded in the nucleus and functions in the mitochondrion. It was found to be one of the mitochondrial matrix proteins that are preferentially degraded by the serine protease 15 (PRSS15), also known as Lon protease, after oxidative modification.

Application Notes

Optimal dilution of the Aconitase 2 antibody should be determined by the researcher.

Immunogen

Amino acids TSQRLQLLEPFDKWDGKDLEDLQILIKVKGKCTTDH from the human protein were used as the immunogen for the Aconitase 2 antibody.

Storage

Prior to reconstitution, store at 4oC. After reconstitution, the Aconitase 2 antibody can be stored for up to one month at 4oC. For long-term, aliquot and store at -20oC. Avoid repeated freezing and thawing.

Cross
Bulk Quote Request Form
Name*:
Organization*:
Email*:
Phone Number*:
Catalog No.*:
Comments and Specifics(amount, formulation, etc.)*:
Validation code: Captchapackage Image


Can't read the image? click here to refresh.
    *required field

Your bulk quote request has been submitted successfully!

Please contact us if you have any questions.