• Tel: 858.663.9055
  • SeparatorEmail: info@nsjbio.com
  • Tel: 858.663.9055
  • Email: info@nsjbio.com
Home >> Antibodies >> ACO2 Antibody / Aconitase 2

ACO2 Antibody / Aconitase 2 [clone 4C12D1] (RQ7281)

  Catalog No Formulation Size Price (USD)  
Image RQ7281 0.5mg/ml if reconstituted with 0.2ml sterile DI water 100 ug 439
Bulk quote request
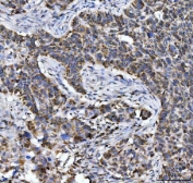
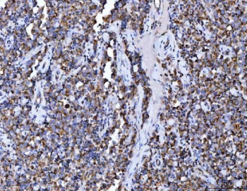
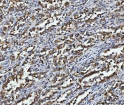
IHC staining of FFPE human testicular germ cell tumor tissue with ACO2 antibody. HIER: boil tissue sections in pH8 EDTA for 20 min and allow to cool before testing.
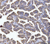
IHC staining of FFPE human lung adenocarcinoma tissue with ACO2 antibody. HIER: boil tissue sections in pH8 EDTA for 20 min and allow to cool before testing.
IHC staining of FFPE human hepatocellular carcinoma tissue with ACO2 antibody. HIER: boil tissue sections in pH8 EDTA for 20 min and allow to cool before testing.
IHC staining of FFPE human laryngeal squamous cell carcinoma tissue with ACO2 antibody. HIER: boil tissue sections in pH8 EDTA for 20 min and allow to cool before testing.
IHC staining of FFPE human breast cancer tissue with ACO2 antibody. HIER: boil tissue sections in pH8 EDTA for 20 min and allow to cool before testing.
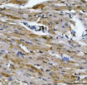
IHC staining of FFPE mouse heart tissue with ACO2 antibody. HIER: boil tissue sections in pH8 EDTA for 20 min and allow to cool before testing.
IHC staining of FFPE rat heart tissue with ACO2 antibody. HIER: boil tissue sections in pH8 EDTA for 20 min and allow to cool before testing.
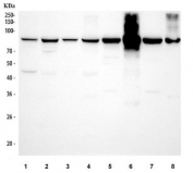
Western blot testing of 1) human HeLa, 2) human U-87 MG, 3) human Jurkat, 4) human SH-SY5Y, 5) rat skeletal muscle, 6) rat brain, 7) mouse skeletal muscle and 8) mouse brain tissue lysate with ACO2 antibody. Predicted molecular weight: ~85 kDa.
Availability 1-3 business days
Species Reactivity Human, Mouse, Rat
Format Antigen affinity purified
Clonality Monoclonal (mouse origin)
Isotype Mouse IgG1
Clone Name 4C12D1
Purity Antigen affinity purified
Buffer Lyophilized from 1X PBS with 2% Trehalose
UniProt Q99798
Localization Cytoplasmic (mitochondria)
Applications Western Blot : 0.5-1ug/ml
Immunohistochemistry (FFPE) : 2-5ug/ml
Limitations This ACO2 antibody is available for research use only.
Review this product on BioCompare and get a $20 Amazon gift card

Related Products

  • Applications : WB, IHC, ELISA (peptide)
    Reactivity : Human, Mouse, Rat, Pig
  • Applications : WB, IHC, IF, ELISA (peptide)
    Reactivity : Human
    Pred. Reactivity : Cow, Dog, Mouse, Pig, Rat
  • Applications : WB, IHC, IF, ELISA (peptide)
    Reactivity : Human
    Pred. Reactivity : Cow, Dog, Mouse, Pig, Rat
  • Applications : WB
    Reactivity : Human, Mouse, Rat
  • Applications : WB, IHC, ELISA
    Reactivity : Human
  • Applications : WB, IHC, ELISA
    Reactivity : Human, Mouse, Rat
    Pred. Reactivity : Bovine, Pig
  • Applications : WB, ELISA (peptide)
    Reactivity : Human, Mouse, Rat, Pig

Description

Aconitase 2, mitochondrial (also called Aconitate hydratase, mitochondrial) is a protein that in humans is encoded by the ACO2 gene. The protein encoded by this gene belongs to the aconitase/IPM isomerase family. It is an enzyme that catalyzes the interconversion of citrate to isocitrate via cis-aconitate in the second step of the TCA cycle. This protein is encoded in the nucleus and functions in the mitochondrion. It was found to be one of the mitochondrial matrix proteins that are preferentially degraded by the serine protease 15 (PRSS15), also known as Lon protease, after oxidative modification.

Application Notes

Optimal dilution of the ACO2 antibody should be determined by the researcher.

Immunogen

Amino acids 561-596 (TSQRLQLLEPFDKWDGKDLEDLQILIKVKGKCTTDH) were used as the immunogen for the ACO2 antibody.

Storage

After reconstitution, the ACO2 antibody can be stored for up to one month at 4oC. For long-term, aliquot and store at -20oC. Avoid repeated freezing and thawing.

Cross
Bulk Quote Request Form
Name*:
Organization*:
Email*:
Phone Number*:
Catalog No.*:
Comments and Specifics(amount, formulation, etc.)*:
Validation code: Captchapackage Image


Can't read the image? click here to refresh.
    *required field

Your bulk quote request has been submitted successfully!

Please contact us if you have any questions.