• Tel: 858.663.9055
  • SeparatorEmail: info@nsjbio.com
  • Tel: 858.663.9055
  • Email: info@nsjbio.com
Home >> Antibodies >> ACN9 Antibody / SDHAF3

ACN9 Antibody / SDHAF3 (F41148)

  Catalog No Formulation Size Price (USD)  
Image F41148-0.4ML In 1X PBS, pH 7.4, with 0.09% sodium azide 0.4 ml 429
Image
F41148-0.08ML In 1X PBS, pH 7.4, with 0.09% sodium azide 0.08 ml 199
Bulk quote request
ACN9 antibody western blot analysis in mouse bladder tissue lysate. Predicted molecular weight ~15 kDa.
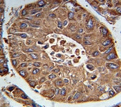
ACN9 antibody immunohistochemistry analysis in formalin fixed and paraffin embedded human hepatocarcinoma.
Availability 1-3 business days
Species Reactivity Human, Mouse
Format Antigen affinity purified
Clonality Polyclonal (rabbit origin)
Isotype Rabbit Ig
Purity Antigen affinity
UniProt Q9NRP4
Localization Cytoplasmic
Applications Western Blot : 1:500-1000
IHC (Paraffin) : 1:50-1:100
Limitations This ACN9 antibody is available for research use only.
Review this product on BioCompare and get a $20 Amazon gift card

Description

ACN9/SDHAF3 plays an essential role in the assembly of succinate dehydrogenase (SDH), an enzyme complex (also referred to as respiratory complex II) that is a component of both the tricarboxylic acid (TCA) cycle and the mitochondrial electron transport chain, and which couples the oxidation of succinate to fumarate with the reduction of ubiquinone (coenzyme Q) to ubiquinol. Promotes maturation of the iron-sulfur protein subunit SDHB of the SDH catalytic dimer, protecting it from the deleterious effects of oxidants. May act together with SDHAF1. [UniProt]

Application Notes

Titration of the ACN9 antibody may be required due to differences in protocols and secondary/substrate sensitivity.

Immunogen

A portion of amino acids 13-42 from the human protein was used as the immunogen for this ACN9 antibody.

Storage

Aliquot the ACN9 antibody and store frozen at -20oC or colder. Avoid repeated freeze-thaw cycles.

Cross
Bulk Quote Request Form
Name*:
Organization*:
Email*:
Phone Number*:
Catalog No.*:
Comments and Specifics(amount, formulation, etc.)*:
Validation code: Captchapackage Image


Can't read the image? click here to refresh.
    *required field

Your bulk quote request has been submitted successfully!

Please contact us if you have any questions.