• Tel: 858.663.9055
  • SeparatorEmail: info@nsjbio.com
  • Tel: 858.663.9055
  • Email: info@nsjbio.com
Home >> Antibodies >> ACE Antibody / Angiotensin I Converting Enzyme

ACE Antibody / Angiotensin I Converting Enzyme [clone ACE/3763] (V8534)

  Catalog No Formulation Size Price (USD)  
Image V8534-100UG 0.2 mg/ml in 1X PBS with 0.1 mg/ml BSA (US sourced) and 0.05% sodium azide 100 ug 539
Image
V8534-20UG 0.2 mg/ml in 1X PBS with 0.1 mg/ml BSA (US sourced) and 0.05% sodium azide 20 ug 249
Image
V8534SAF-100UG 1 mg/ml in 1X PBS; BSA free, sodium azide free 100 ug 539
Bulk quote request
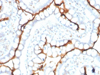
IHC staining of FFPE human small intestine with ACE antibody. HIER: boil tissue sections in pH 9 10mM Tris with 1mM EDTA for 20 min and allow to cool before testing.
IHC staining of FFPE human small intestine with ACE antibody. HIER: boil tissue sections in pH 9 10mM Tris with 1mM EDTA for 20 min and allow to cool before testing.
Western blot testing of human kidney lysate with ACE antibody. Expected molecular weight 140-170+ kDa depending on glycosylation level.
SDS-PAGE analysis of purified, BSA-free ACE antibody (clone ACE/3763) as confirmation of integrity and purity.
Availability 1-3 business days
Species Reactivity Human
Format Purified
Clonality Monoclonal (mouse origin)
Isotype Mouse IgG2c, kappa
Clone Name ACE/3763
Purity Protein G affinity chromatography
UniProt P12821
Localization Cell surface, cytoplasm
Applications Western Blot : 1-2ug/ml
ELISA : order Ab without BSA for coating
Immunohistochemistry (FFPE) : 1-2ug/ml for 30 minutes at RT
Limitations This ACE antibody is available for research use only.
Review this product on BioCompare and get a $20 Amazon gift card

Related Products

Description

This gene encodes an enzyme involved in catalyzing the conversion of angiotensin I into a physiologically active peptide angiotensin II. Angiotensin II is a potent vasopressor and aldosterone-stimulating peptide that controls blood pressure and fluid-electrolyte balance. This enzyme plays a key role in the renin-angiotensin system. Many studies have associated the presence or absence of a 287 bp Alu repeat element in this gene with the levels of circulating enzyme or cardiovascular pathophysiologies. Two most abundant alternatively spliced variants of this gene encode two isozymes - the somatic form and the testicular form that are equally active. Multiple additional alternatively spliced variants have been identified but their full length nature has not been determined.

Application Notes

Optimal dilution of the ACE antibody should be determined by the researcher.

Immunogen

A portion of amino acids 652-788 from the human protein was used as the immunogen for the ACE antibody.

Storage

Store the ACE antibody at 2-8oC (with azide) or aliquot and store at -20oC or colder (without azide).

Cross
Bulk Quote Request Form
Name*:
Organization*:
Email*:
Phone Number*:
Catalog No.*:
Comments and Specifics(amount, formulation, etc.)*:
Validation code: Captchapackage Image


Can't read the image? click here to refresh.
    *required field

Your bulk quote request has been submitted successfully!

Please contact us if you have any questions.