• Tel: 858.663.9055
  • SeparatorEmail: info@nsjbio.com
  • Tel: 858.663.9055
  • Email: info@nsjbio.com
Home >> Antibodies >> ACE Antibody / Angiotensin-converting enzyme

ACE Antibody / Angiotensin-converting enzyme (R31546)

  Catalog No Formulation Size Price (USD)  
Image R31546 0.5mg/ml if reconstituted with 0.2ml sterile DI water 100 ug 439
Bulk quote request
Western blot testing of 1) rat lung, 2) mouse lung and 3) Raji lysate with ACE antibody. Expected molecular weight 140-170+ kDa depending on glycosylation level.
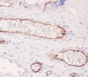
IHC-P: ACE antibody testing of human placenta tissue. HIER: boil tissue sections in pH6, 10mM citrate buffer, for 20 min and allow to cool before testing.
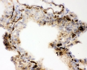
IHC-P: ACE antibody testing of mouse lung tissue. HIER: boil tissue sections in pH6, 10mM citrate buffer, for 20 min and allow to cool before testing.
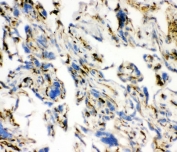
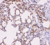
IHC-P testing of rat lung tissue with ACE antibody. HIER: boil tissue sections in pH6, 10mM citrate buffer, for 20 min and allow to cool before testing.
IHC-P testing of rat lung tissue with ACE antibody. HIER: boil tissue sections in pH6, 10mM citrate buffer, for 20 min and allow to cool before testing.
IHC staining of frozen human placenta with ACE antibody.
IHC staining of frozen mouse lung with ACE antibody.
Immunofluorescent testing of human A431 cells with ACE antibody (green) and DAPI (blue). HIER: boil tissue sections in pH6, 10mM citrate buffer, for 20 min and allow to cool before testing.
Availability 1-3 business days
Species Reactivity Human, Mouse, Rat
Format Antigen affinity purified
Clonality Polyclonal (rabbit origin)
Isotype Rabbit IgG
Purity Antigen affinity
Buffer Lyophilized from 1X PBS with 2.5% BSA and 0.025% sodium azide
Gene ID 1636
Applications Western Blot : 0.5-1ug/ml
IHC (FFPE) : 0.5-1ug/ml
IHC (Frozen) : 0.5-1ug/ml
Immunofluorescence : 2-4ug/ml
Limitations This ACE antibody is available for research use only.
Review this product on BioCompare and get a $20 Amazon gift card

Related Products

Description

Angiotensin-converting enzyme, an exopeptidase, is a circulating enzyme that participates in the body's renin-angiotensin system (RAS), which mediates extracellular volume (i.e. that of the blood plasma, lymph and interstitial fluid), and arterial vasoconstriction. It is secreted by pulmonary and renal endothelial cells and catalyzes the conversion of decapeptide angiotensin I to octapeptide angiotensin II. Using a DNA marker at the growth hormone gene locus, which they characterized as 'extremely polymorphic' and which showed no recombination with ACE, the gene was mapped to 17q22-q24, consistent with the in situ hybridization mapping to 17q23. ACE, or kininase II, is a dipeptidyl carboxypeptidase that plays an important role in blood pressure regulation and electrolyte balance by hydrolyzing angiotensin I into angiotensin II, a potent vasopressor, and aldosterone-stimulating peptide. The enzyme is also able to inactivate bradykinin, a potent vasodilator.

Application Notes

The stated application concentrations are suggested starting amounts. Titration of the ACE antibody may be required due to differences in protocols and secondary/substrate sensitivity.

Immunogen

Human partial recombinant protein (AA 651-864) was used as the immunogen for this ACE antibody.

Storage

After reconstitution, the ACE antibody can be stored for up to one month at 4oC. For long-term, aliquot and store at -20oC. Avoid repeated freezing and thawing.

Cross
Bulk Quote Request Form
Name*:
Organization*:
Email*:
Phone Number*:
Catalog No.*:
Comments and Specifics(amount, formulation, etc.)*:
Validation code: Captchapackage Image


Can't read the image? click here to refresh.
    *required field

Your bulk quote request has been submitted successfully!

Please contact us if you have any questions.