• Tel: 858.663.9055
  • SeparatorEmail: info@nsjbio.com
  • Tel: 858.663.9055
  • Email: info@nsjbio.com
Home >> Antibodies >> ACAP2 Antibody

ACAP2 Antibody (R33834)

  Catalog No Formulation Size Price (USD)  
Image R33834-100UG 0.5 mg/ml in 1X TBS, pH7.3, with 0.5% BSA (US sourced) and 0.02% sodium azide 100 ug 449
Bulk quote request
Western blot testing of human MOLT4 lysate with ACAP2 antibody at 1ug/ml. Predicted molecular weight: ~88kDa.
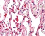
IHC staining of FFPE human lung with ACAP1 antibody at 5ug/ml. HIER: steamed with pH6 citrate buffer, AP-staining.
Western blot testing of mouse NIH3T3 lysate with ACAP2 antibody at 0.3ug/ml. Predicted molecular weight: ~88kDa.
Western blot testing of 1) mouse lung and 2) rat lung lysate with ACAP2 antibody at 0.3ug/ml. Predicted molecular weight: ~88kDa.
Availability 1-3 business days
Species Reactivity Human, Mouse, Rat
Predicted Reactivity Dog, Pig
Format Antigen affinity purified
Clonality Polyclonal (goat origin)
Isotype Goat Ig
Purity Antigen affinity
Gene ID 23527
Applications Western Blot : 0.3-1ug/ml
Immunohistochemistry (FFPE) : 5-10ug/ml
ELISA (peptide) LOD : 1:32000
Limitations This ACAP2 antibody is available for research use only.
Review this product on BioCompare and get a $20 Amazon gift card

Related Products

Description

Additional name(s) for this target protein: Centaurin beta 2, CENTB2

Application Notes

Optimal dilution of the ACAP2 antibody should be determined by the researcher.

Immunogen

Amino acids EKLNRFQQDSQKF were used as the immunogen for this ACAP2 antibody.

Storage

Aliquot and store the ACAP2 antibody at -20oC.

Cross
Bulk Quote Request Form
Name*:
Organization*:
Email*:
Phone Number*:
Catalog No.*:
Comments and Specifics(amount, formulation, etc.)*:
Validation code: Captchapackage Image


Can't read the image? click here to refresh.
    *required field

Your bulk quote request has been submitted successfully!

Please contact us if you have any questions.