• Tel: 858.663.9055
  • SeparatorEmail: info@nsjbio.com
  • Tel: 858.663.9055
  • Email: info@nsjbio.com
Home >> Antibodies >> ACADM Antibody / Mcad

ACADM Antibody / Mcad (F49894)

  Catalog No Formulation Size Price (USD)  
Image F49894-0.4ML In 1X PBS, pH 7.4, with 0.09% sodium azide 0.4 ml 429
Image
F49894-0.08ML In 1X PBS, pH 7.4, with 0.09% sodium azide 0.08 ml 199
Bulk quote request
Western blot analysis of ACADM antibody and mouse heart tissue lysate. Predicted molecular weight: ~46kDa.
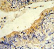
IHC analysis of FFPE human colon carcinoma stained with ACADM antibody
Confocal immunofluorescent analysis of ACADM antibody with HepG2 cells followed by Alexa Fluor 488-conjugated goat anti-rabbit lgG (green). DAPI was used as a nuclear counterstain (blue).
Flow cytometric analysis of WiDr cells using ACADM antibody (bottom histogram) compared to a negative control (top histogram). FITC-conjugated goat-anti-rabbit secondary Ab was used for the analysis.
Availability 1-3 business days
Species Reactivity Human, Mouse
Predicted Reactivity Primate
Format Purified
Clonality Polyclonal (rabbit origin)
Isotype Rabbit Ig
Purity Purified
UniProt P11310
Localization Cytoplasmic
Applications Western Blot : 1:1000
IHC (Paraffin) : 1:50-1:100
Flow Cytometry : 1:10-1:50
Immunofluorescence : 1:10-1:50
Limitations This ACADM antibody is available for research use only.
Review this product on BioCompare and get a $20 Amazon gift card

Related Products

Description

ACADM is the medium-chain specific (C4 to C12 straight chain) acyl-Coenzyme A dehydrogenase. The homotetramer enzyme catalyzes the initial step of the mitochondrial fatty acid beta-oxidation pathway.

Application Notes

Titration of the ACADM antibody may be required due to differences in protocols and secondary/substrate sensitivity.

Immunogen

A portion of amino acids 189-217 from the human protein was used as the immunogen for this ACADM antibody.

Storage

Aliquot the ACADM antibody and store frozen at -20oC or colder. Avoid repeated freeze-thaw cycles.

Cross
Bulk Quote Request Form
Name*:
Organization*:
Email*:
Phone Number*:
Catalog No.*:
Comments and Specifics(amount, formulation, etc.)*:
Validation code: Captchapackage Image


Can't read the image? click here to refresh.
    *required field

Your bulk quote request has been submitted successfully!

Please contact us if you have any questions.