• Tel: 858.663.9055
  • SeparatorEmail: info@nsjbio.com
  • Tel: 858.663.9055
  • Email: info@nsjbio.com
Home >> Antibodies >> ABR Antibody / Active breakpoint cluster region-related protein

ABR Antibody / Active breakpoint cluster region-related protein (FY12626)

  Catalog No Formulation Size Price (USD)  
Image FY12626 Adding 0.2 ml of distilled water will yield a concentration of 500 ug/ml 100 ug 439
Bulk quote request
Immunofluorescent staining of ABR using anti-ABR antibody (green). ABR was detected in an immunocytochemical section of human A549 cells. Enzyme antigen retrieval was performed using IHC enzyme antigen retrieval reagent for 15 mins. The cells were blocked with 10% goat serum. And then incubated with 5 ug/ml rabbit anti-ABR antibody overnight at 4oC. DyLight 488 Conjugated Goat Anti-Rabbit IgG was used as secondary antibody at 1:500 dilution and incubated for 30 minutes at 37oC. The section was counterstained with DAPI nuclear stain (blue). Visualize using a fluorescence microscope and filter sets appropriate for the label used.
Western blot analysis of ABR using anti-ABR antibody. Lane 1: rat brain tissue lysates, Lane 2: mouse brain tissue lysates. After electrophoresis, proteins were transferred to a nitrocellulose membrane at 150 mA for 50-90 minutes. Blocked the membrane with 5% non-fat milk/TBS for 1.5 hour at RT. The membrane was incubated with rabbit anti-ABR antibody at 0.5 ug/ml overnight at 4oC, then washed with TBS-0.1%Tween 3 times with 5 minutes each and probed with a goat anti-rabbit IgG-HRP secondary antibody at a dilution of 1:5000 for 1.5 hour at RT. The signal was developed using enhanced chemiluminescent. The expected molecular weight of ABR is ~98 kDa.
Immunohistochemical staining of ABR using anti-ABR antibody. ABR was detected in a paraffin-embedded section of rat brain tissue. Heat mediated antigen retrieval was performed in EDTA buffer (pH 8.0, epitope retrieval solution). The tissue section was blocked with 10% goat serum. The tissue section was then incubated with 2 ug/ml rabbit anti-ABR antibody overnight at 4oC. Peroxidase Conjugated Goat Anti-rabbit IgG was used as secondary antibody and incubated for 30 minutes at 37oC. The tissue section was developed using an HRP secondary and DAB substrate.
Immunohistochemical staining of ABR using anti-ABR antibody. ABR was detected in a paraffin-embedded section of rat brain tissue. Heat mediated antigen retrieval was performed in EDTA buffer (pH 8.0, epitope retrieval solution). The tissue section was blocked with 10% goat serum. The tissue section was then incubated with 2 ug/ml rabbit anti-ABR antibody overnight at 4oC. Peroxidase Conjugated Goat Anti-rabbit IgG was used as secondary antibody and incubated for 30 minutes at 37oC. The tissue section was developed using an HRP secondary and DAB substrate.
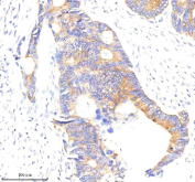
Immunohistochemical staining of ABR using anti-ABR antibody. ABR was detected in a paraffin-embedded section of human colon cancer tissue. Heat mediated antigen retrieval was performed in EDTA buffer (pH 8.0, epitope retrieval solution). The tissue section was blocked with 10% goat serum. The tissue section was then incubated with 2 ug/ml rabbit anti-ABR antibody overnight at 4oC. Peroxidase Conjugated Goat Anti-rabbit IgG was used as secondary antibody and incubated for 30 minutes at 37oC. The tissue section was developed using an HRP secondary and DAB substrate.
Flow Cytometry analysis of 293T cells using anti-ABR antibody. Overlay histogram showing 293T cells stained with (Blue line). To facilitate intracellular staining, cells were fixed with 4% paraformaldehyde and permeabilized with permeabilization buffer. The cells were blocked with 10% normal goat serum. And then incubated with rabbit anti-ABR antibody (1 ug/million cells) for 30 min at 20oC. DyLight 488 conjugated goat anti-rabbit IgG (5-10 ug/million cells) was used as secondary antibody for 30 minutes at 20oC. Isotype control antibody (Green line) was rabbit IgG (1 ug/million cells) used under the same conditions. Unlabelled sample without incubation with primary antibody and secondary antibody (Red line) was used as a blank control.
Availability 1-2 days
Species Reactivity Human, Mouse, Rat
Format Lyophilized
Clonality Polyclonal (rabbit origin)
Isotype Rabbit IgG
Purity Immunogen affinity purified
Buffer Each vial contains 4 mg Trehalose, 0.9 mg NaCl, 0.2 mg Na2HPO4.
UniProt Q12979
Localization Cytoplasmic, Nuclear
Applications Western Blot : 0.25-0.5ug/ml
Immunohistochemistry : 2-5ug/ml
Immunocytochemistry : 5ug/ml
Immunofluorescence : 5ug/ml
Flow Cytometry : 1-3ug/million cells
ELISA : 0.1-0.5ug/ml
Limitations This ABR antibody is available for research use only.
Review this product on BioCompare and get a $20 Amazon gift card

Related Products

Description

ABR antibody detects Active breakpoint cluster region-related protein, a GTPase-activating protein that regulates the Rho family of small GTPases including Rac and Cdc42. ABR modulates cytoskeletal organization, cell migration, and neuronal development by controlling GTPase signaling cycles. The ABR antibody is widely used in neuroscience, immunology, and cancer biology to study cytoskeletal regulation, signaling, and morphogenesis.

ABR is encoded by the ABR gene located on human chromosome 17p13.3. The protein is approximately 871 amino acids long and contains a GTPase-activating (GAP) domain and a guanine nucleotide exchange factor (GEF)-like domain, giving it dual regulatory capacity. ABR localizes to the cytoplasm and plasma membrane, where it modulates actin cytoskeleton remodeling and cell polarity.

The ABR antibody detects a 98 kilodalton protein by western blot and shows perinuclear and membrane-associated staining under immunofluorescence. ABR acts as a negative regulator of Rac and Cdc42 by promoting their conversion from active GTP-bound to inactive GDP-bound states. This modulation is essential for neuronal growth cone collapse, immune cell migration, and epithelial polarity.

In neurons, ABR contributes to axon guidance and dendritic spine development, while in immune cells it regulates phagocytosis and chemotaxis. Loss of ABR activity leads to hyperactivation of Rho GTPases, resulting in abnormal morphology and impaired signal transduction. In cancers, aberrant ABR expression alters cell adhesion, invasion, and metastatic behavior.

Beyond cytoskeletal control, ABR interacts with signaling molecules involved in inflammation and oxidative stress. It participates in cellular defense mechanisms by modulating NADPH oxidase activity and reactive oxygen species production. These diverse functions establish ABR as a central hub linking signaling to structural adaptation.

As a bidirectional regulator of GTPase signaling, ABR provides key insights into cell dynamics and tissue morphogenesis. NSJ Bioreagents provides a validated ABR antibody optimized for its applications, supporting research into Rho GTPase regulation, neuronal development, and immune signaling.

Application Notes

Optimal dilution of the ABR antibody should be determined by the researcher.

Immunogen

E.coli-derived human ABR recombinant protein (Position: Q180-V859) was used as the immunogen for the ABR antibody.

Storage

After reconstitution, the ABR antibody can be stored for up to one month at 4oC. For long-term, aliquot and store at -20oC. Avoid repeated freezing and thawing.

Cross
Bulk Quote Request Form
Name*:
Organization*:
Email*:
Phone Number*:
Catalog No.*:
Comments and Specifics(amount, formulation, etc.)*:
Validation code: Captchapackage Image


Can't read the image? click here to refresh.
    *required field

Your bulk quote request has been submitted successfully!

Please contact us if you have any questions.