• Tel: 858.663.9055
  • SeparatorEmail: info@nsjbio.com
  • Tel: 858.663.9055
  • Email: info@nsjbio.com
Home >> Antibodies >> ABR Antibody / Active BCR related

ABR Antibody / Active BCR related (R32457)

  Catalog No Formulation Size Price (USD)  
Image R32457 0.5mg/ml if reconstituted with 0.2ml sterile DI water 100 ug 439
Bulk quote request
Western blot testing of 1) rat brain and 2) mouse brain lysate with ABR antibody at 0.5ug/ml. Predicted molecular weight ~98 kDa.
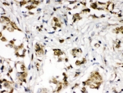
IHC testing of FFPE human breast cancer tissue with ABR antibody at 1ug/ml. HIER: steam in pH6 citrate buffer and allow to cool prior to staining.
IHC testing of FFPE mouse brain with ABR antibody at 1ug/ml. HIER: steam in pH6 citrate buffer and allow to cool prior to staining.
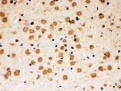
IHC testing of FFPE rat brain with ABR antibody at 1ug/ml. HIER: steam in pH6 citrate buffer and allow to cool prior to staining.
Availability 1-3 business days
Species Reactivity Human, Mouse, Rat
Format Antigen affinity purified
Clonality Polyclonal (rabbit origin)
Isotype Rabbit IgG
Purity Antigen affinity
Buffer Lyophilized from 1X PBS with 2.5% BSA and 0.025% sodium azide
UniProt Q12979
Localization Cytoplasmic, membranous
Applications Western Blot : 0.5-1ug/ml
IHC (FFPE) : 1-2ug/ml
Limitations This ABR antibody is available for research use only.
Review this product on BioCompare and get a $20 Amazon gift card

Related Products

Description

This ABR gene encodes a protein that is similar to the protein encoded by the breakpoint cluster region gene located on chromosome 22. The protein encoded by this gene contains a GTPase-activating protein domain, a domain found in members of the Rho family of GTP-binding proteins. Functional studies in mice determined that this protein plays a role in vestibular morphogenesis. Alternatively spliced transcript variants have been reported for this gene.

Application Notes

Optimal dilution of the ABR antibody should be determined by the researcher.

Immunogen

Amino acids HPFPDHELEDMKMKISALKSEIQKEKANKGQSRAIERL from the human protein were used as the immunogen for the ABR antibody.

Storage

Prior to reconstitution, store at 4oC. After reconstitution, the ABR antibody can be stored for up to one month at 4oC. For long-term, aliquot and store at -20oC. Avoid repeated freezing and thawing.

Cross
Bulk Quote Request Form
Name*:
Organization*:
Email*:
Phone Number*:
Catalog No.*:
Comments and Specifics(amount, formulation, etc.)*:
Validation code: Captchapackage Image


Can't read the image? click here to refresh.
    *required field

Your bulk quote request has been submitted successfully!

Please contact us if you have any questions.