• Tel: 858.663.9055
  • SeparatorEmail: info@nsjbio.com
  • Tel: 858.663.9055
  • Email: info@nsjbio.com
Home >> Antibodies >> ABL2 Antibody

ABL2 Antibody (R32426)

  Catalog No Formulation Size Price (USD)  
Image R32426 0.5mg/ml if reconstituted with 0.2ml sterile DI water 100 ug 439
Bulk quote request
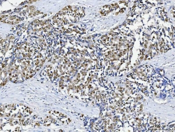
IHC testing of FFPE human gallbladder carcinoma tissue with ABL2 antibody. HEIR: Boil the paraffin sections in pH8 EDTA buffer for 20 minutes and allow to cool prior to testing.
IHC testing of FFPE mouse brain tissue with ABL2 antibody. HEIR: Boil the paraffin sections in pH8 EDTA buffer for 20 minutes and allow to cool prior to testing.
Western blot testing of 1) rat brain, 2) rat PC-12, 3) mouse brain, 4) mouse NIH 3T3 and 5) human K562 cell lysate with ABL2 antibody. Expected molecular weight ~128 kDa, but routinely observed at 128-140 kDa.
Availability 1-3 business days
Species Reactivity Human, Mouse, Rat
Format Antigen affinity purified
Clonality Polyclonal (rabbit origin)
Isotype Rabbit IgG
Purity Antigen affinity
Buffer Lyophilized from 1X PBS with 2% Trehalose
UniProt P42684
Localization Cytoplasmic, membranous, nuclear
Applications Western Blot : 0.1-0.5ug/ml
Immunohistochemistry (FFPE) : 2-5ug/ml
Limitations This ABL2 antibody is available for research use only.
Review this product on BioCompare and get a $20 Amazon gift card

Related Products

Description

Tyrosine-protein kinase ABL2, also known as Abelson-related gene (Arg), is an enzyme that in humans is encoded by the ABL2 gene. This gene encodes a member of the Abelson family of nonreceptor tyrosine protein kinases. The protein is highly similar to the c-abl oncogene 1 protein, including the tyrosine kinase, SH2 and SH3 domains, and it plays a role in cytoskeletal rearrangements through its C-terminal F-actin- and microtubule-binding sequences. This gene is expressed in both normal and tumor cells, and is involved in translocation with the ets variant 6 gene in leukemia. Multiple alternatively spliced transcript variants encoding different protein isoforms have been found for this gene.

Application Notes

Optimal dilution of the ABL2 antibody should be determined by the researcher.

Immunogen

Amino acids T1065-R1182 of the human protein were used as the immunogen for the ABL2 antibody.

Storage

After reconstitution, the ABL2 antibody can be stored for up to one month at 4oC. For long-term, aliquot and store at -20oC. Avoid repeated freezing and thawing.

Cross
Bulk Quote Request Form
Name*:
Organization*:
Email*:
Phone Number*:
Catalog No.*:
Comments and Specifics(amount, formulation, etc.)*:
Validation code: Captchapackage Image


Can't read the image? click here to refresh.
    *required field

Your bulk quote request has been submitted successfully!

Please contact us if you have any questions.