• Tel: 858.663.9055
  • SeparatorEmail: info@nsjbio.com
  • Tel: 858.663.9055
  • Email: info@nsjbio.com
Home >> Antibodies >> ABL2 Antibody

ABL2 Antibody [clone 1442CT175.30.33] (F53161)

  Catalog No Formulation Size Price (USD)  
Image F53161-0.4ML In 1X PBS, pH 7.4, with 0.09% sodium azide 0.4 ml 429
Image
F53161-0.08ML In 1X PBS, pH 7.4, with 0.09% sodium azide 0.08 ml 199
Bulk quote request
Western blot testing of ABL2 antibody at 1:2000 dilution. Lane 1: human A431 lysate; 2: human HeLa lysate; Expected molecular weight ~128 kDa, but routinely observed at 128-140 kDa with a possible ~61 kDa isoform.
Western blot testing of ABL2 antibody at 1:500 dilution + mouse NIH3T3 lysate; Expected molecular weight ~128 kDa, but routinely observed at 128-140 kDa with a possible ~61 kDa isoform.
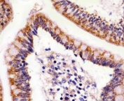
IHC testing of FFPE human colon with ABL2 antibody at 1:25. HIER: steam sections in pH6 citrate buffer.
Availability 1-3 business days
Species Reactivity Human, Mouse
Format Purified
Clonality Monoclonal (mouse origin)
Isotype Mouse IgG1, k
Clone Name 1442CT175.30.33
Purity Purified
UniProt P42684
Applications Western Blot : 1:500-2000
IHC (FFPE) : 1:25
Limitations This ABL2 antibody is available for research use only.
Review this product on BioCompare and get a $20 Amazon gift card

Related Products

  • Applications : WB, IHC-P
    Reactivity : Human, Mouse, Rat

Description

Abelson tyrosine-protein kinase 2 is a non-receptor tyrosine-protein kinase that plays an ABL1- overlapping role in key processes linked to cell growth and survival such as cytoskeleton remodeling in response to extracellular stimuli, cell motility and adhesion and receptor endocytosis. Coordinates actin remodeling through tyrosine phosphorylation of proteins controlling cytoskeleton dynamics like MYH10 (involved in movement); CTTN (involved in signaling); or TUBA1 and TUBB (microtubule subunits). Binds directly F-actin and regulates actin cytoskeletal structure through its F-actin- bundling activity. Involved in the regulation of cell adhesion and motility through phosphorylation of key regulators of these processes such as CRK, CRKL, DOK1 or ARHGAP35. Adhesion-dependent phosphorylation of ARHGAP35 promotes its association with RASA1, resulting in recruitment of ARHGAP35 to the cell periphery where it inhibits RHO. Phosphorylates multiple receptor tyrosine kinases like PDGFRB and other substrates which are involved in endocytosis regulation such as RIN1. In brain, may regulate neurotransmission by phosphorylating proteins at the synapse. ABL2 acts also as a regulator of multiple pathological signaling cascades during infection. Pathogens can highjack ABL2 kinase signaling to reorganize the host actin cytoskeleton for multiple purposes, like facilitating intracellular movement and host cell exit. Finally, functions as its own regulator through autocatalytic activity as well as through phosphorylation of its inhibitor, ABI1.

Application Notes

Titration of the ABL2 antibody may be required due to differences in protocols and secondary/substrate sensitivity.

Immunogen

This ABL2 antibody was produced from a mouse immunized with a recombinant protein.

Storage

Aliquot the ABL2 antibody and store frozen at -20oC or colder. Avoid repeated freeze-thaw cycles.

Cross
Bulk Quote Request Form
Name*:
Organization*:
Email*:
Phone Number*:
Catalog No.*:
Comments and Specifics(amount, formulation, etc.)*:
Validation code: Captchapackage Image


Can't read the image? click here to refresh.
    *required field

Your bulk quote request has been submitted successfully!

Please contact us if you have any questions.