• Tel: 858.663.9055
  • SeparatorEmail: info@nsjbio.com
  • Tel: 858.663.9055
  • Email: info@nsjbio.com
Home >> Antibodies >> ABI2 Antibody / Abelson interactor 2

ABI2 Antibody / Abelson interactor 2 (R31179)

  Catalog No Formulation Size Price (USD)  
Image R31179 0.5mg/ml if reconstituted with 0.2ml sterile DI water 100 ug 439
Bulk quote request
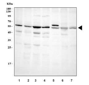
Western blot testing of 1) human 293T, 2) human HeLa, 3) human K562, 4) human SH-SY5Y, 5) rat brain, 6) rat PC-12 and 7) mouse brain tissue lysate with ABI2 antibody. Predicted molecular weight ~55 kDa.
Availability 1-3 business days
Species Reactivity Human, Mouse, Rat
Format Antigen affinity purified
Clonality Polyclonal (rabbit origin)
Isotype Rabbit IgG
Purity Antigen affinity
Buffer Lyophilized from 1X PBS with 2.5% BSA and 0.025% sodium azide/thimerosal
UniProt Q9NYB9
Applications Western Blot : 0.5-1ug/ml
Limitations This ABI2 antibody is available for research use only.
Review this product on BioCompare and get a $20 Amazon gift card

Related Products

Description

ABL Interactor 2 is a protein that in humans is encoded by the ABI2 gene. By analysis of a YAC and a BAC, Machado et al.(2000) mapped the gene to 2q31-q33. ABI2 possesses a basic N terminus with homology to a homeodomain protein; a central serine-rich region; three PEST sequences, which are implicated in susceptibility to protein degradation; several proline-rich stretches; and an acidic C terminus with multiple phosphorylation sites and an SH3 domain. Dai and Pendergast(1995) suggested that the ABI proteins may function to coordinate the cytoplasmic and nuclear functions of the ABL1 tyrosine kinase.

Application Notes

The stated application concentrations are suggested starting amounts. Titration of the ABI2 antibody may be required due to differences in protocols and secondary/substrate sensitivity.

Immunogen

An amino acid sequence from the N-terminus of human ABL Interactor 2 (RFKVSTQNMKMGGLPR) was used as the immunogen for this ABI2 antibody (100% homologous in human, mouse and rat).

Storage

After reconstitution, the ABI2 antibody can be stored for up to one month at 4oC. For long-term, aliquot and store at -20oC. Avoid repeated freezing and thawing.

Cross
Bulk Quote Request Form
Name*:
Organization*:
Email*:
Phone Number*:
Catalog No.*:
Comments and Specifics(amount, formulation, etc.)*:
Validation code: Captchapackage Image


Can't read the image? click here to refresh.
    *required field

Your bulk quote request has been submitted successfully!

Please contact us if you have any questions.