• Tel: 858.663.9055
  • SeparatorEmail: info@nsjbio.com
  • Tel: 858.663.9055
  • Email: info@nsjbio.com
Home >> Antibodies >> ABHD5 Antibody

ABHD5 Antibody (R34062)

  Catalog No Formulation Size Price (USD)  
Image R34062-100UG 0.5 mg/ml in 1X TBS, pH7.3, with 0.5% BSA (US sourced) and 0.02% sodium azide 100 ug 449
Bulk quote request
Western blot testing of NIH3T3 lysate with ABHD5 antibody at 0.2ug/ml. Predicted molecular weight: ~39 kDa.
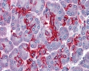
IHC testing of FFPE human kidney tissue with ABHD5 antibody at 3.75ug/ml. Required HIER: steamed antigen retrieval with pH6 citrate buffer; AP-staining.
IHC testing of FFPE human pancreas tissue with ABHD5 antibody at 3.75ug/ml. Required HIER: steamed antigen retrieval with pH6 citrate buffer; AP-staining.
Availability 1-3 business days
Species Reactivity Human. Mouse
Predicted Reactivity Rat, Dog, Cow
Format Antigen affinity purified
Clonality Polyclonal (goat origin)
Isotype Goat Ig
Purity Antigen affinity
Gene ID 51099
Localization Cytoplasmic
Applications Western Blot : 0.2-0.6ug/ml
IHC (FFPE) : 3.75ug/ml
ELISA (peptide) LOD : 1:16000
Limitations This ABHD5 antibody is available for research use only.
Review this product on BioCompare and get a $20 Amazon gift card

Related Products

  • Applications : WB, IHC-P, IF/ICC
    Reactivity : Human, Rat

Description

Additional name(s) for this target protein: CGI58, IECN2, NCIE2

Application Notes

Optimal dilution of the ABHD5 antibody should be determined by the researcher.

1. This ABHD5 antibody does not cross react with ABHD4.

Immunogen

Amino acids FPERPDLADQDR were used as the immunogen for this ABHD5 antibody.

Storage

Aliquot and store the ABHD5 antibody at -20oC.

Cross
Bulk Quote Request Form
Name*:
Organization*:
Email*:
Phone Number*:
Catalog No.*:
Comments and Specifics(amount, formulation, etc.)*:
Validation code: Captchapackage Image


Can't read the image? click here to refresh.
    *required field

Your bulk quote request has been submitted successfully!

Please contact us if you have any questions.