• Tel: 858.663.9055
  • SeparatorEmail: info@nsjbio.com
  • Tel: 858.663.9055
  • Email: info@nsjbio.com
Home >> Antibodies >> ABHD5 Antibody / CGI-58

ABHD5 Antibody / CGI-58 (R32489)

  Catalog No Formulation Size Price (USD)  
Image R32489 0.5mg/ml if reconstituted with 0.2ml sterile DI water 100 ug 439
Bulk quote request
Western blot testing of 1) rat kidney and 2) human A431 lysate with ABHD5 antibody at 0.5ug/ml. Predicted molecular weight ~39 kDa.
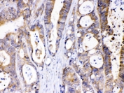
IHC testing of FFPE human intestinal cancer tissue with ABHD5 antibody at 1 ug/ml. HIER: steam sections in pH6 citrate buffer for 20 min.
IF/ICC staining of FFPE human A431 cells with ABHD5 antibody (green) at 2ug/ml and DAPI nuclear stain (blue). HIER: steam sections in pH6 citrate buffer for 20 min.
Availability 1-3 business days
Species Reactivity Human, Rat
Format Antigen affinity purified
Clonality Polyclonal (rabbit origin)
Isotype Rabbit IgG
Purity Antigen affinity
Buffer Lyophilized from 1X PBS with 2.5% BSA and 0.025% sodium azide
UniProt Q8WTS1
Localization Cytoplasmic
Applications Western Blot : 0.5-1ug/ml
IHC (FFPE) : 1-2ug/ml
IF/ICC (FFPE) : 2-4ug/ml
Limitations This ABHD5 antibody is available for research use only.
Review this product on BioCompare and get a $20 Amazon gift card

Related Products

  • Applications : WB, IHC-P, ELISA (peptide)
    Reactivity : Human. Mouse
    Pred. Reactivity : Rat, Dog, Cow

Description

1-acylglycerol-3-phosphate O-acyltransferase ABHD5 is an enzyme that in humans is encoded by the ABHD5 gene. The protein encoded by this gene belongs to a large family of proteins defined by an alpha/beta hydrolase fold, and contains three sequence motifs that correspond to a catalytic triad found in the esterase/lipase/thioesterase subfamily. It differs from other members of this subfamily in that its putative catalytic triad contains an asparagine instead of the serine residue. Mutations in this gene have been associated withChanarin-Dorfman syndrome, a triglyceride storage disease with impaired long-chain fatty acid oxidation.

Application Notes

Differences in protocols and secondary/substrate sensitivity may require the ABHD5 antibody to be titrated for optimal performance.

Immunogen

Amino acids R169-D349 from the human protein were used as the immunogen for the ABHD5 antibody.

Storage

After reconstitution, the ABHD5 antibody can be stored for up to one month at 4oC. For long-term, aliquot and store at -20oC. Avoid repeated freezing and thawing.

Cross
Bulk Quote Request Form
Name*:
Organization*:
Email*:
Phone Number*:
Catalog No.*:
Comments and Specifics(amount, formulation, etc.)*:
Validation code: Captchapackage Image


Can't read the image? click here to refresh.
    *required field

Your bulk quote request has been submitted successfully!

Please contact us if you have any questions.