• Tel: 858.663.9055
  • SeparatorEmail: info@nsjbio.com
  • Tel: 858.663.9055
  • Email: info@nsjbio.com
Home >> Antibodies >> ABHD4 Antibody

ABHD4 Antibody (F43151)

  Catalog No Formulation Size Price (USD)  
Image F43151-0.4ML In 1X PBS, pH 7.4, with 0.09% sodium azide 0.4 ml 429
Image
F43151-0.08ML In 1X PBS, pH 7.4, with 0.09% sodium azide 0.08 ml 199
Bulk quote request
ABHD4 antibody western blot analysis in mouse kidney tissue lysate. Predicted molecular weight ~39 kDa.
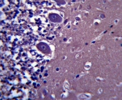
ABHD4 antibody immunohistochemistry analysis in formalin fixed and paraffin embedded human cerebellum tissue.
Availability 1-3 business days
Species Reactivity Human, Mouse
Predicted Reactivity Bovine
Format Antigen affinity purified
Clonality Polyclonal (rabbit origin)
Isotype Rabbit Ig
Purity Antigen affinity
UniProt Q8TB40
Localization Cytoplasmic
Applications Western Blot : 1:1000
IHC (Paraffin) : 1:10-1:50
Limitations This ABHD4 antibody is available for research use only.
Review this product on BioCompare and get a $20 Amazon gift card

Related Products

  • Applications : WB, FACS, Direct ELISA
    Reactivity : Human, Mouse, Rat

Description

Lysophospholipase selective for N-acyl phosphatidylethanolamine (NAPE). Contributes to the biosynthesis of N-acyl ethanolamines, including the endocannabinoid anandamide by hydrolyzing the sn-1 and sn-2 acyl chains from N-acyl phosphatidylethanolamine (NAPE) generating glycerophospho-N-acyl ethanolamine (GP-NAE), an intermediate for N-acyl ethanolamine biosynthesis. Hydrolyzes substrates bearing saturated, monounsaturated, polyunsaturated N-acyl chains. Shows no significant activity towards other lysophospholipids, including lysophosphatidylcholine, lysophosphatidylethanolamine and lysophosphatidylserine (By similarity).

Application Notes

Titration of the ABHD4 antibody may be required due to differences in protocols and secondary/substrate sensitivity.

Immunogen

A portion of amino acids 98-127 from the human protein was used as the immunogen for this ABHD4 antibody.

Storage

Aliquot the ABHD4 antibody and store frozen at -20oC or colder. Avoid repeated freeze-thaw cycles.

Cross
Bulk Quote Request Form
Name*:
Organization*:
Email*:
Phone Number*:
Catalog No.*:
Comments and Specifics(amount, formulation, etc.)*:
Validation code: Captchapackage Image


Can't read the image? click here to refresh.
    *required field

Your bulk quote request has been submitted successfully!

Please contact us if you have any questions.