• Tel: 858.663.9055
  • SeparatorEmail: info@nsjbio.com
  • Tel: 858.663.9055
  • Email: info@nsjbio.com
Home >> Antibodies >> ABCD3 Antibody

ABCD3 Antibody (R34973)

  Catalog No Formulation Size Price (USD)  
Image R34973-100UG 0.5 mg/ml in 1X TBS, pH7.3, with 0.5% BSA (US sourced) and 0.02% sodium azide 100 ug 449
Bulk quote request
Western blot testing of human kidney lysate with ABCD3 antibody at 0.2ug/ml. Predicted molecular weight: ~75kDa.
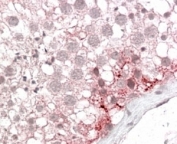
IHC staining of FFPE human testis with ABCD3 antibody at 4ug/ml. HIER: steamed with pH6 citrate buffer, AP-staining.
Availability 1-3 business days
Species Reactivity Human
Predicted Reactivity Mouse, Rat
Format Antigen affinity purified
Clonality Polyclonal (goat origin)
Isotype Goat Ig
Purity Antigen affinity
Gene ID 5825
Applications Western Blot : 0.2-0.6 ug/ml
Immunohistochemistry (FFPE) : 2.5-5ug/ml
ELISA (peptide) LOD : 1:16000
Limitations This ABCD3 antibody is available for research use only.
Review this product on BioCompare and get a $20 Amazon gift card

Related Products

  • Applications : WB, IHC-P
    Reactivity : Human, Mouse, Rat
  • Applications : WB, IHC, ELISA (peptide)
    Reactivity : Human
    Pred. Reactivity : Mouse, Rat

Description

Additional name(s) for this target protein: ATP-binding cassette, sub-family D

Application Notes

Optimal dilution of the ABCD3 antibody should be determined by the researcher.

1. This ABCD3 antibody is specific for isoform 1.

Immunogen

Amino acids PDGREDQKRKGISD were used as the immunogen for this ABCD3 antibody.

Storage

Aliquot and store the ABCD3 antibody at -20oC.

Cross
Bulk Quote Request Form
Name*:
Organization*:
Email*:
Phone Number*:
Catalog No.*:
Comments and Specifics(amount, formulation, etc.)*:
Validation code: Captchapackage Image


Can't read the image? click here to refresh.
    *required field

Your bulk quote request has been submitted successfully!

Please contact us if you have any questions.