• Tel: 858.663.9055
  • SeparatorEmail: info@nsjbio.com
  • Tel: 858.663.9055
  • Email: info@nsjbio.com
Home >> Antibodies >> ABCB5 Antibody

ABCB5 Antibody (RQ5509)

  Catalog No Formulation Size Price (USD)  
Image RQ5509 0.5mg/ml if reconstituted with 0.2ml sterile DI water 100 ug 439
Bulk quote request
Flow cytometry testing of human HL60 cells with ABCB5 antibody at 1ug/million cells (blocked with goat sera); Red=cells alone, Green=isotype control, Blue= ABCB5 antibody.
Flow cytometry testing of human U-2 OS cells with ABCB5 antibody at 1ug/million cells (blocked with goat sera); Red=cells alone, Green=isotype control, Blue= ABCB5 antibody.
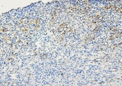
IHC staining of FFPE human melanoma with ABCB5 antibody. HIER: boil tissue sections in pH6, 10mM citrate buffer, for 20 min and allow to cool before testing.
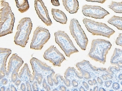
IHC staining of FFPE mouse intestine with ABCB5 antibody. HIER: boil tissue sections in pH6, 10mM citrate buffer, for 20 min and allow to cool before testing.
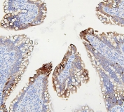
IHC staining of FFPE rat intestine with ABCB5 antibody. HIER: boil tissue sections in pH6, 10mM citrate buffer, for 20 min and allow to cool before testing.
Availability 1-3 business days
Species Reactivity Human, Mouse, Rat
Format Antigen affinity purified
Clonality Polyclonal (rabbit origin)
Isotype Rabbit IgG
Purity Affinity purified
Buffer Lyophilized from 1X PBS with 2% Trehalose and 0.025% sodium azide
UniProt Q2M3G0
Applications Immunohistochemistry (FFPE) : 1-2ug/ml
Flow Cytometry : 1-3ug/million cells
Direct ELISA : 0.1-0.5ug/ml
Limitations This ABCB5 antibody is available for research use only.
Review this product on BioCompare and get a $20 Amazon gift card

Related Products

  • Applications : WB, FACS, ELISA
    Reactivity : Human
  • Applications : WB, ELISA (peptide), FACS
    Reactivity : Human

Description

ATP-binding cassette sub-family B member 5 also known as P-glycoprotein ABCB5 is a plasma membrane-spanning protein that in humans is encoded by the ABCB5 gene.It is mapped to 7p21.1. ABCB5 belongs to the ATP-binding cassette (ABC) transporter superfamily of integral membrane proteins. These proteins participate in ATP-dependent transmembrane transport of structurally diverse molecules ranging from small ions, sugars, and peptides to more complex organic molecules.

Application Notes

Optimal dilution of the ABCB5 antibody should be determined by the researcher.

Immunogen

A human recombinant protein (amino acids M1-D176) was used as the immunogen for the ABCB5 antibody.

Storage

After reconstitution, the ABCB5 antibody can be stored for up to one month at 4oC. For long-term, aliquot and store at -20oC. Avoid repeated freezing and thawing.

Cross
Bulk Quote Request Form
Name*:
Organization*:
Email*:
Phone Number*:
Catalog No.*:
Comments and Specifics(amount, formulation, etc.)*:
Validation code: Captchapackage Image


Can't read the image? click here to refresh.
    *required field

Your bulk quote request has been submitted successfully!

Please contact us if you have any questions.