• Tel: 858.663.9055
  • SeparatorEmail: info@nsjbio.com
  • Tel: 858.663.9055
  • Email: info@nsjbio.com
Home >> Antibodies >> ABAT Antibody / 4-Aminobutyrate aminotransferase

ABAT Antibody / 4-Aminobutyrate aminotransferase (R32487)

  Catalog No Formulation Size Price (USD)  
Image R32487 0.5mg/ml if reconstituted with 0.2ml sterile DI water 100 ug 439
Bulk quote request
Immunofluorescent staining of FFPE human MCF7 cells with ABAT antibody (green) and DAPI nuclear stain (blue). HIER: steam section in pH6 citrate buffer for 20 min.
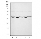
Western blot testing of 1) human HepG2, 2) rat brain, 3) rat liver, 4) mouse brain and 5) mouse liver tissue lysate with ABAT antibody. Predicted molecular weight ~54 kDa.
Flow cytometry testing of human Caco-2 cells with ABAT antibody at 1ug/million cells (blocked with goat sera); Red=cells alone, Green=isotype control, Blue= ABAT antibody.
Availability 1-3 business days
Species Reactivity Human, Mouse, Rat
Format Antigen affinity purified
Clonality Polyclonal (rabbit origin)
Isotype Rabbit IgG
Purity Antigen affinity
Buffer Lyophilized from 1X PBS with 2.5% BSA and 0.025% sodium azide
UniProt P80404
Localization Cytoplasmic, granular
Applications Western Blot : 0.5-1ug/ml
Immunofluorescence (FFPE) : 5ug/ml
Flow Cytometry : 1-3ug/million cells
Limitations This ABAT antibody is available for research use only.
Review this product on BioCompare and get a $20 Amazon gift card

Description

4-Aminobutyrate aminotransferase is a protein that in humans is encoded by the ABAT gene. ABAT is responsible for catabolism of gamma-aminobutyric acid (GABA), an important, mostly inhibitory neurotransmitter in the central nervous system, into succinic semialdehyde. The active enzyme is a homodimer of 50-kD subunits complexed to pyridoxal-5- phosphate. The protein sequence is over 95% similar to the pig protein. GABA is estimated to be present in nearly one-third of humans ynapses. ABAT in liver and brain is controlled by 2 codominant alleles with a frequency in a Caucasian population of 0.56 and 0.44. The ABAT deficiency phenotype includes psychomotor retardation, hypotonia, hyperreflexia, lethargy, refractoryseizures, and EEG abnormalities. Multiple alternatively spliced transcript variants encoding the same protein isoform have been found for this gene.

Application Notes

Differences in protocols and secondary/substrate sensitivity may require the ABAT antibody to be titrated for optimal performance.

Immunogen

Amino acids K388-K500 from the human protein were used as the immunogen for the ABAT antibody.

Storage

After reconstitution, the ABAT antibody can be stored for up to one month at 4oC. For long-term, aliquot and store at -20oC. Avoid repeated freezing and thawing.

Cross
Bulk Quote Request Form
Name*:
Organization*:
Email*:
Phone Number*:
Catalog No.*:
Comments and Specifics(amount, formulation, etc.)*:
Validation code: Captchapackage Image


Can't read the image? click here to refresh.
    *required field

Your bulk quote request has been submitted successfully!

Please contact us if you have any questions.