• Tel: 858.663.9055
  • SeparatorEmail: info@nsjbio.com
  • Tel: 858.663.9055
  • Email: info@nsjbio.com
Home >> Antibodies >> AADC Antibody / DOPA Decarboxylase / DDC

AADC Antibody / DOPA Decarboxylase / DDC (F54418)

  Catalog No Formulation Size Price (USD)  
Image F54418-0.4ML In 1X PBS, pH 7.4, with 0.09% sodium azide 0.4 ml 429
Image
F54418-0.08ML In 1X PBS, pH 7.4, with 0.09% sodium azide 0.08 ml 199
Bulk quote request
Western blot testing of human kidney lysate with AADC antibody. Predicted molecular weight ~54 kDa.
Western blot testing of mouse 1) liver and 2) kidney lysate with AADC antibody. Predicted molecular weight ~54 kDa.
Immunofluorescent staining of human HepG2 cells with AADC antibody (green) and DAPI nuclear stain (blue).
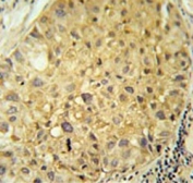
IHC testing of FFPE human hepatocarcinoma tissue with AADC antibody. HIER: steam section in pH6 citrate buffer for 20 min and allow to cool prior to staining.
Flow cytometry testing of human HepG2 cells with AADC antibody; Blue=isotype control, Green= AADC antibody.
Availability 1-3 business days
Species Reactivity Human, Mouse
Format Purified
Clonality Polyclonal (rabbit origin)
Isotype Rabbit Ig
Purity Antigen affinity purified
UniProt P20711
Localization Cytoplasmic
Applications Flow Cytometry : 1:25 (1x10e6 cells)
Immunohistochemistry (FFPE) : 1:25
Western Blot : 1:500-1:2000
Immunofluorescence : 1:25
Limitations This AADC antibody is available for research use only.
Review this product on BioCompare and get a $20 Amazon gift card

Related Products

Description

This protein catalyzes the decarboxylation of L-3,4-dihydroxyphenylalanine (DOPA) to dopamine, L-5-hydroxytryptophan to serotonin and L-tryptophan to tryptamine. Defects in this gene are the cause of aromatic L-amino-acid decarboxylase deficiency (AADCD). AADCD deficiency is an inborn error in neurotransmitter metabolism that leads to combined serotonin and catecholamine deficiency.

Application Notes

The stated application concentrations are suggested starting points. Titration of the AADCantibody may be required due to differences in protocols and secondary/substrate sensitivity.

Immunogen

A portion of amino acids 32-61 from the human protein was used as the immunogen for the AADC antibody.

Storage

Aliquot the AADC antibody and store frozen at -20oC or colder. Avoid repeated freeze-thaw cycles.

Cross
Bulk Quote Request Form
Name*:
Organization*:
Email*:
Phone Number*:
Catalog No.*:
Comments and Specifics(amount, formulation, etc.)*:
Validation code: Captchapackage Image


Can't read the image? click here to refresh.
    *required field

Your bulk quote request has been submitted successfully!

Please contact us if you have any questions.