• Tel: 858.663.9055
  • SeparatorEmail: info@nsjbio.com
  • Tel: 858.663.9055
  • Email: info@nsjbio.com
Home >> Antibodies >> A2M Antibody / Alpha-2-Macroglobulin

A2M Antibody / Alpha-2-Macroglobulin [clone A2M/3623] (V8548)

  Catalog No Formulation Size Price (USD)  
Image V8548-100UG 0.2 mg/ml in 1X PBS with 0.1 mg/ml BSA (US sourced) and 0.05% sodium azide 100 ug 539
Image
V8548-20UG 0.2 mg/ml in 1X PBS with 0.1 mg/ml BSA (US sourced) and 0.05% sodium azide 20 ug 249
Image
V8548SAF-100UG 1 mg/ml in 1X PBS; BSA free, sodium azide free 100 ug 539
Microvalidated
Bulk quote request
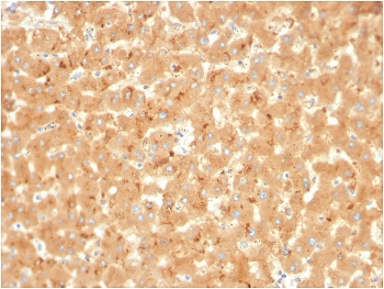
IHC staining of FFPE human liver with A2M antibody. HIER: boil tissue sections in pH 9 10mM Tris with 1mM EDTA for 20 min and allow to cool before testing.
IHC staining of FFPE human liver with A2M antibody. HIER: boil tissue sections in pH 9 10mM Tris with 1mM EDTA for 20 min and allow to cool before testing.
Analysis of HuProt(TM) microarray containing more than 19,000 full-length human proteins using A2M antibody. These results demonstrate the foremost specificity of the A2M/3623 mAb. Z- and S- score: The Z-score represents the strength of a signal that an antibody (in combination with a fluorescently-tagged anti-IgG secondary Ab) produces when binding to a particular protein on the HuProt(TM) array. Z-scores are described in units of standard deviations (SD's) above the mean value of all signals generated on that array. If the targets on the HuProt(TM) are arranged in descending order of the Z-score, the S-score is the difference (also in units of SD's) between the Z-scores. The S-score therefore represents the relative target specificity of an Ab to its intended target.
SDS-PAGE analysis of purified, BSA-free A2M antibody as confirmation of integrity and purity.
Availability 1-3 business days
Species Reactivity Human
Format Purified
Clonality Monoclonal (mouse origin)
Isotype Mouse IgG1, kappa
Clone Name A2M/3623
Purity Protein G affinity chromatography
UniProt P01023
Localization Secreted
Applications Immunohistochemistry (FFPE) : 1-2ug/ml for 30 minutes at RT
Limitations This A2M antibody is available for research use only.
Review this product on BioCompare and get a $20 Amazon gift card

Related Products

Description

Alpha-2-Macroglobulin (A2M) is a homotetrameric serum protein consisting of four identical subunits that form dimers through disulfide bonds. Initially, it was characterized as a pan-proteinase inhibitor that was able to bait proteinases into cleaving specific peptide sequences on A2M. This interaction induces a conformational change, thus enabling it to trap the proteinase and further inhibit its activity. Subsequently, A2M has been shown to function as a carrier protein and regulator of cytokines during inflammation.

Application Notes

Optimal dilution of the A2M antibody should be determined by the researcher.

Immunogen

A portion of amino acids 604-748 from the human protein was used as the immunogen for the A2M antibody.

Storage

Store the A2M antibody at 2-8oC (with azide) or aliquot and store at -20oC or colder (without azide).

Cross
Bulk Quote Request Form
Name*:
Organization*:
Email*:
Phone Number*:
Catalog No.*:
Comments and Specifics(amount, formulation, etc.)*:
Validation code: Captchapackage Image


Can't read the image? click here to refresh.
    *required field

Your bulk quote request has been submitted successfully!

Please contact us if you have any questions.