• Tel: 858.663.9055
  • SeparatorEmail: info@nsjbio.com
  • Tel: 858.663.9055
  • Email: info@nsjbio.com
Home >> Antibodies >> 60 kDa Heat Shock Protein Antibody / Hsp60

60 kDa Heat Shock Protein Antibody / Hsp60 (F54512)

  Catalog No Formulation Size Price (USD)  
Image F54512-0.2ML In 1X PBS, pH 7.4, with 0.09% sodium azide 0.2 ml 429
Image
F54512-0.05ML In 1X PBS, pH 7.4, with 0.09% sodium azide 0.05 ml 199
Bulk quote request
Western blot testing of human 1) Jurkat, 2) HeLa, 3) HepG2, 4) MCF7, 5) mouse NIH 3T3 and 6) rat PC-12 cell lysate with 60 kDa Heat Shock Protein antibody. Predicted molecular weight ~60 kDa.
Immunofluorescent staining of fixed and permeabilized human HepG2 cells with 60 kDa Heat Shock Protein antibody (green), DAPI nuclear stain (blue) and anti-Actin (red).
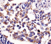
IHC testing of FFPE human lung adenocarcinoma tissue with 60 kDa Heat Shock Protein antibody. HIER: steam section in pH6 citrate buffer for 20 min and allow to cool prior to staining.
Flow cytometry testing of fixed and permeabilized human HeLa cells with 60 kDa Heat Shock Protein antibody; Blue=isotype control, Green= 60 kDa Heat Shock Protein antibody.
Availability 1-3 business days
Species Reactivity Human, Mouse, Rat
Format Purified
Clonality Polyclonal (rabbit origin)
Isotype Rabbit Ig
Purity Antigen affinity purified
UniProt P10809
Localization Cytoplasmic
Applications Western Blot : 1:500-1:2000
Flow Cytometry : 1:25 (1x10e6 cells)
Immunohistochemistry (FFPE) : 1:25
Immunofluorescence : 1:25
Limitations This 60 kDa Heat Shock Protein antibody is available for research use only.
Review this product on BioCompare and get a $20 Amazon gift card

Related Products

  • Applications : WB, IHC-P
    Reactivity : Human
    Recmousemono
    Microvalidated
  • Applications : WB, IHC-P
    Reactivity : Human, Dog
    Recrabbitmono
  • Applications : IF, WB, IHC-P
    Reactivity : Human
    Microvalidated
  • Applications : FACS, IF, WB, IHC-P
    Reactivity : Human, Mouse, Rat
    Citation  Citations(8)
  • Applications : IF, WB, IHC-P
    Reactivity : Human
    Citation  Citations(9)
  • Applications : WB, IF, IHC-P
    Reactivity : Human
  • Applications : IF, IHC-P
    Reactivity : Human
  • Applications : IF, WB, IHC-P
    Reactivity : Human
    Citation  Citations(1)
  • Applications : IF, WB, IHC-P
    Reactivity : Human
  • Applications : WB
    Reactivity : Human
    Rab Mono Image
  • Applications : FACS, IF, WB, IHC-P
    Reactivity : Human
  • Applications : WB
    Reactivity : Human
  • Applications : WB, IHC-P
    Reactivity : Human
  • Applications : WB, IHC-P, IF, ICC, FACS
    Reactivity : Human, Mouse, Rat
  • Applications : WB, IHC-P, ICC, IF, FACS
    Reactivity : Human, Mouse, Rat
  • Applications : WB, IHC, ELISA
    Reactivity : Human, Mouse
  • Applications : WB, IHC-P, IF, ELISA (peptide)
    Reactivity : Human, Pig, Rat
    Pred. Reactivity : Cow, Dog

Description

Implicated in mitochondrial protein import and macromolecular assembly. May facilitate the correct folding of imported proteins. May also prevent misfolding and promote the refolding and proper assembly of unfolded polypeptides generated under stress conditions in the mitochondrial matrix.

Application Notes

The stated application concentrations are suggested starting points. Titration of the 60 kDa Heat Shock Protein antibody may be required due to differences in protocols and secondary/substrate sensitivity.

Immunogen

Recombinant human protein was used as the immunogen for the 60 kDa Heat Shock Protein antibody.

Storage

Aliquot the 60 kDa Heat Shock Protein antibody and store frozen at -20oC or colder. Avoid repeated freeze-thaw cycles.

Cross
Bulk Quote Request Form
Name*:
Organization*:
Email*:
Phone Number*:
Catalog No.*:
Comments and Specifics(amount, formulation, etc.)*:
Validation code: Captchapackage Image


Can't read the image? click here to refresh.
    *required field

Your bulk quote request has been submitted successfully!

Please contact us if you have any questions.