• Tel: 858.663.9055
  • SeparatorEmail: info@nsjbio.com
  • Tel: 858.663.9055
  • Email: info@nsjbio.com
Home >> Antibodies >> 5HT1B Antibody / HTR1B

5HT1B Antibody / HTR1B (RQ6562)

  Catalog No Formulation Size Price (USD)  
Image RQ6562 0.5mg/ml if reconstituted with 0.2ml sterile DI water 100 ug 439
Bulk quote request
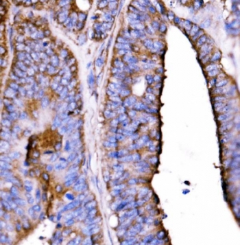
IHC staining of FFPE human rectal cancer tissue with 5HT1B antibody. HIER: boil tissue sections in pH8 EDTA for 20 min and allow to cool before testing.
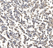
IHC staining of FFPE human pancreatic cancer tissue with 5HT1B antibody. HIER: boil tissue sections in pH8 EDTA for 20 min and allow to cool before testing.
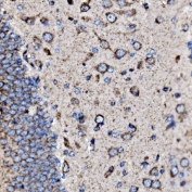
IHC staining of FFPE mouse brain tissue with 5HT1B antibody. HIER: boil tissue sections in pH8 EDTA for 20 min and allow to cool before testing.
IHC staining of FFPE rat brain tissue with 5HT1B antibody. HIER: boil tissue sections in pH8 EDTA for 20 min and allow to cool before testing.
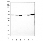
Western blot testing of human 1) A431, 2) HeLa, 3) rat brain, 4) rat C6, 5) mouse brain and 6) mouse Neuro-2a cell lysate with 5HT1B antibody. Predicted molecular weight ~44 kDa.
Flow cytometry testing of human A549 cells with 5HT1B antibody at 1ug/million cells (blocked with goat sera); Red=cells alone, Green=isotype control, Blue= 5HT1B antibody.
Availability 1-3 business days
Species Reactivity Human, Mouse, Rat
Format Antigen affinity purified
Clonality Polyclonal (rabbit origin)
Isotype Rabbit IgG
Purity Affinity purified
Buffer Lyophilized from 1X PBS with 2% Trehalose
UniProt P28222
Localization Cytoplasm, cell membrane
Applications Western Blot : 1-2ug/ml
Immunohistochemistry (FFPE) : 2-5ug/ml
Flow Cytometry : 1-3ug/million cells
Direct ELISA : 0.1-0.5ug/ml
Limitations This 5HT1B antibody is available for research use only.
Review this product on BioCompare and get a $20 Amazon gift card

Related Products

  • Applications : WB, ELISA (peptide)
    Reactivity : Human
    Pred. Reactivity : Mouse, Rat, Dog, Pig, Cat, Cow

Description

5-hydroxytryptamine receptor 1B also known as the 5-HT1B receptor is a protein that in humans is encoded by the HTR1B gene. The protein encoded by this intronless gene is a G-protein coupled receptor for serotonin (5-hydroxytryptamine). Ligand binding activates second messengers that inhibit the activity of adenylate cyclase and manage the release of serotonin, dopamine, and acetylcholine in the brain. The encoded protein may be involved in several neuropsychiatric disorders and therefore is often a target of antidepressant and other psychotherapeutic drugs.

Application Notes

Optimal dilution of the 5HT1B antibody should be determined by the researcher.

Immunogen

An E. coli-derived human protein (amino acids A35-S390) was used as the immunogen for the 5HT1B antibody.

Storage

After reconstitution, the 5HT1B antibody can be stored for up to one month at 4oC. For long-term, aliquot and store at -20oC. Avoid repeated freezing and thawing.

Cross
Bulk Quote Request Form
Name*:
Organization*:
Email*:
Phone Number*:
Catalog No.*:
Comments and Specifics(amount, formulation, etc.)*:
Validation code: Captchapackage Image


Can't read the image? click here to refresh.
    *required field

Your bulk quote request has been submitted successfully!

Please contact us if you have any questions.