• Tel: 858.663.9055
  • SeparatorEmail: info@nsjbio.com
  • Tel: 858.663.9055
  • Email: info@nsjbio.com
Home >> Antibodies >> 5HT1A Receptor Antibody

5HT1A Receptor Antibody (R30731)

  Catalog No Formulation Size Price (USD)  
Image R30731 0.5mg/ml if reconstituted with 0.2ml sterile DI water 100 ug 439
Bulk quote request
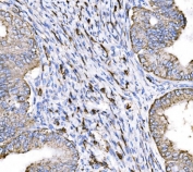
IHC staining of FFPE human lung cancer tissue with 5HT1A Receptor antibody. HIER: boil tissue sections in pH8 EDTA for 20 min and allow to cool before testing.
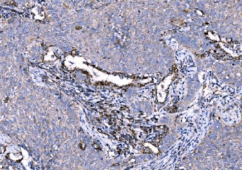
IHC staining of FFPE human endometrial adenocarcinoma tissue with 5HT1A Receptor antibody. HIER: boil tissue sections in pH8 EDTA for 20 min and allow to cool before testing.
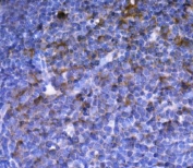
IHC staining of FFPE rat lymph tissue with 5HT1A Receptor antibody. HIER: boil tissue sections in pH8 EDTA for 20 min and allow to cool before testing.
Western blot testing of 1) human HCCT and 2) rat liver tissue lysate with 5HT1A Receptor antibody. Predicted molecular weight ~46 kDa.
Availability 1-3 business days
Species Reactivity Human, Rat
Format Antigen affinity purified
Clonality Polyclonal (rabbit origin)
Isotype Rabbit IgG
Purity Antigen affinity
Buffer Lyophilized from 1X PBS with 2% Trehalose
UniProt P08908
Localization Cell membrane
Applications Western Blot : 0.5-1ug/ml
Immunohistochemistry (FFPE) : 2-5ug/ml
Limitations This 5HT1A Receptor antibody is available for research use only.
Review this product on BioCompare and get a $20 Amazon gift card

Related Products

  • Applications : WB, ELISA (peptide)
    Reactivity : Human, Mouse
    Pred. Reactivity : Rat

Description

5HT1AR is a subtype of 5HTR that binds the endogenous neurotransmitter serotonin. It is a G protein-coupled receptor (GPCR) that is coupled to Gi/Go and mediates inhibitory neurotransmission. The HTR1A gene is located at 5q12.3. The decreases in 5HT1AR densities correlated with decreased glucose utilization as measured by PET scan. Activation of 5HT1ARs has been demonstrated to impair cognition, learning, and memory by inhibiting the release of glutamate and acetylcholine in various areas of the brain. In the dorsal raphe nucleus they are co-localized with neurokinin 1(NK1) receptors and have been shown to inhibit the release of substance P, their endogenous ligand.

Application Notes

The stated application concentrations are suggested starting amounts. Titration of the 5HT1A Receptor antibody may be required due to differences in protocols and secondary/substrate sensitivity.

Immunogen

An amino acid sequence from the C-terminus of human 5HT1A Receptor(NKDFQNAFKKIIKCKFCRQ) was used as the immunogen for this 5HT1A Receptor antibody.

Storage

After reconstitution, the 5HT1A Receptor antibody can be stored for up to one month at 4oC. For long-term, aliquot and store at -20oC. Avoid repeated freezing and thawing.

Cross
Bulk Quote Request Form
Name*:
Organization*:
Email*:
Phone Number*:
Catalog No.*:
Comments and Specifics(amount, formulation, etc.)*:
Validation code: Captchapackage Image


Can't read the image? click here to refresh.
    *required field

Your bulk quote request has been submitted successfully!

Please contact us if you have any questions.