• Tel: 858.663.9055
  • SeparatorEmail: info@nsjbio.com
  • Tel: 858.663.9055
  • Email: info@nsjbio.com
Home >> Antibodies >> 53BP1 Antibody / Tumor Protein p53-Binding Protein 1

53BP1 Antibody / Tumor Protein p53-Binding Protein 1 (R31082)

  Catalog No Formulation Size Price (USD)  
Image R31082 0.5mg/ml if reconstituted with 0.2ml sterile DI water 100 ug 439
Bulk quote request
Western blot testing of human 1) HeLa and 2) RT4 cell lysate with 53BP1 antibody. Predicted molecular weight: ~214 kDa but may be observed at up to ~450 kDa.
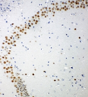
IHC-P: 53BP1 antibody testing of human intestinal cancer tissue. HIER: steamed with pH6 citrate buffer.
IHC-P: 53BP1 antibody testing of rat brain tissue. HIER: steamed with pH6 citrate buffer.
IHC-P: 53BP1 antibody testing of mouse brain tissue. HIER: steamed with pH6 citrate buffer.
ICC testing of 53BP1 antibody and A549 cells
Availability 1-3 business days
Species Reactivity Human, Mouse, Rat
Format Antigen affinity purified
Clonality Polyclonal (rabbit origin)
Isotype Rabbit IgG
Purity Antigen affinity
Buffer Lyophilized from 1X PBS with 2.5% BSA and 0.025% sodium azide/thimerosal
UniProt Q12888
Applications Western Blot : 0.5-1ug/ml
IHC (FFPE) : 0.5-1ug/ml
Immunocytochemistry : 0.5-1ug/ml
Limitations This 53BP1 antibody is available for research use only.
Review this product on BioCompare and get a $20 Amazon gift card

Related Products

Description

Tumor Protein p53-Binding Protein 1, also called 53BP1, is a protein that in humans is encoded by the TP53BP1 gene. Iwabuchi et al. (1998) mapped the gene to 15q15-q21 by FISH. Iwabuchi et al. (1994) showed that TP53BP1 binds to the conformationally sensitive central domain of wildtype p53 but not to mutant p53 in vitro. Immunoblot analysis by Iwabuchi et al. (1998) showed that expression of TP53BP1 or TP53BP2 enhances the transactivation function of p53 and induces the expression of p21 (CDKN1A). Wang et al. (2002) used small interfering RNA directed against the protein in mammalian cells to demonstrate that TP53BP1 is a key transducer of the DNA damage checkpoint signal. It was required for p53 accumulation, G2/M checkpoint arrest, and the intra-S-phase checkpoint in response to ionizing radiation.

Application Notes

The stated application concentrations are suggested starting points. Titration of the 53BP1 antibody may be required due to differences in protocols and secondary/substrate sensitivity.

Immunogen

An amino acid sequence from the C-terminus of human 53BP1 (ERIGFKQHPKYKHDYVSH) was used as the immunogen for this 53BP1 antibody (100% mouse homology).

Storage

After reconstitution, the 53BP1 antibody can be stored for up to one month at 4oC. For long-term, aliquot and store at -20oC. Avoid repeated freezing and thawing.

Cross
Bulk Quote Request Form
Name*:
Organization*:
Email*:
Phone Number*:
Catalog No.*:
Comments and Specifics(amount, formulation, etc.)*:
Validation code: Captchapackage Image


Can't read the image? click here to refresh.
    *required field

Your bulk quote request has been submitted successfully!

Please contact us if you have any questions.