• Tel: 858.663.9055
  • SeparatorEmail: info@nsjbio.com
  • Tel: 858.663.9055
  • Email: info@nsjbio.com
Home >> Antibodies >> 17-beta-hydroxysteroid dehydrogenase 13 Antibody / HSD17B13

17-beta-hydroxysteroid dehydrogenase 13 Antibody / HSD17B13 [clone HSD17B13/13109] (V5744)

  Catalog No Formulation Size Price (USD)  
Image V5744-100UG 0.2 mg/ml in 1X PBS with 0.1 mg/ml BSA (US sourced), 0.05% sodium azide 100 ug 539
Image
V5744-20UG 0.2 mg/ml in 1X PBS with 0.1 mg/ml BSA (US sourced), 0.05% sodium azide 20 ug 249
Image
V5744SAF-100UG 1 mg/ml in 1X PBS; BSA free, sodium azide free 100 ug 539
Bulk quote request
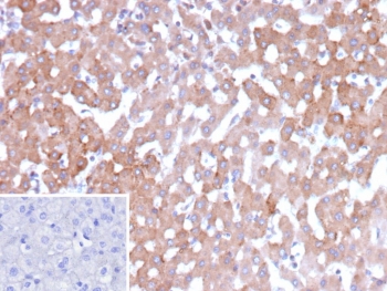
IHC staining of FFPE human hepatocellular carcinoma tissue with 17-beta-hydroxysteroid dehydrogenase 13 antibody (clone HSD17B13/13109). Inset: PBS used in place of primary Ab (secondary Ab negative control). HIER: boil tissue sections in pH 9 10mM Tris with 1mM EDTA for 20 min and allow to cool before testing.
SDS-PAGE analysis of purified, BSA-free 17-beta-hydroxysteroid dehydrogenase 13 antibody (clone HSD17B13/13109) as confirmation of integrity and purity.
Availability 1-3 business days
Species Reactivity Human
Format Purified
Clonality Monoclonal (mouse origin)
Isotype Mouse IgG2b, kappa
Clone Name HSD17B13/13109
Purity Protein G affinity
UniProt Q7Z5P4
Localization Cytoplasm
Applications Immunohistochemistry (FFPE) : 1-2ug/ml
Limitations This 17-beta-hydroxysteroid dehydrogenase 13 antibody is available for research use only.
Review this product on BioCompare and get a $20 Amazon gift card

Related Products

Description

Hydroxysteroid 17-beta dehydrogenase 13 (HSD17B13) is an engyme in the liver that is associated with lipid droplets. It is encoded by the HSD17B13 gene in humans. HSD17B13 levels increase in patients with non-alcoholic fatty liver disease (NAFLD) and can enhance lipogenesis. However, some studies have shown that loss-of-function variants in HSD17B13 may protect against the progression of NAFLD to non-alcoholic steatohepatitis, fibrosis, and hepatocellular carcinoma.

Application Notes

Optimal dilution of the 17-beta-hydroxysteroid dehydrogenase 13 antibody should be determined by the researcher.

Immunogen

A portion of amino acids 1-200 of the human protein was used as the immunogen for the 17-beta-hydroxysteroid dehydrogenase 13 antibody.

Storage

Aliquot the 17-beta-hydroxysteroid dehydrogenase 13 antibody and store frozen at -20oC or colder. Avoid repeated freeze-thaw cycles.

Cross
Bulk Quote Request Form
Name*:
Organization*:
Email*:
Phone Number*:
Catalog No.*:
Comments and Specifics(amount, formulation, etc.)*:
Validation code: Captchapackage Image


Can't read the image? click here to refresh.
    *required field

Your bulk quote request has been submitted successfully!

Please contact us if you have any questions.