• Tel: 858.663.9055
  • SeparatorEmail: info@nsjbio.com
  • Tel: 858.663.9055
  • Email: info@nsjbio.com
Home >> Antibodies >> 14-3-3 zeta/delta Antibody / YWHAZ

14-3-3 zeta/delta Antibody / YWHAZ (RQ4280)

  Catalog No Formulation Size Price (USD)  
Image RQ4280 0.5mg/ml if reconstituted with 0.2ml sterile DI water 100 ug 439
Bulk quote request
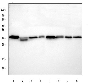
Western blot testing of 1) rat brain, 2) rat kidney, 3) rat RH35, 4) rat PC-12, 5) mouse brain, 6) mouse kidney, 7) mouse ANA-1 and 8) mouse Neuro-2a cell lysate with 14-3-3 zeta antibody. Predicted molecular weight ~28 kDa.
Western blot testing of human 1) HepG2, 2) ThP-1, 3) Raji, 4) A549, 5) A431, 6) PC-3, 7) MCF7 and 8) SiHa cell lysate with 14-3-3 zeta antibody. Predicted molecular weight ~28 kDa.
Immuofluorescent staining of FFPE human U-2 OS cells with 14-3-3 zeta antibody (green) at 2ug/ml and DAPI nuclear stain (blue). Required HIER: steam section in pH6 citrate buffer for 20 min and allow to cool prior to staining.
Availability 1-3 business days
Species Reactivity Human, Mouse, Rat
Format Antigen affinity purified
Clonality Polyclonal (rabbit origin)
Isotype Rabbit IgG
Purity Antigen affinity purified
Buffer Lyophilized from 1X PBS with 2% Trehalose and 0.025% sodium azide
UniProt P63104
Localization Cytoplasm, nucleus
Applications Western Blot : 0.5-1ug/ml
Immunofluorescence (FFPE) : 5ug/ml
Limitations This 14-3-3 zeta antibody is available for research use only.
Review this product on BioCompare and get a $20 Amazon gift card

Related Products

Description

14-3-3 protein zeta/delta is a protein that in humans is encoded by the YWHAZ gene on chromosome 8. This gene product belongs to the 14-3-3 family of proteins which mediate signal transduction by binding to phosphoserine-containing proteins. This highly conserved protein family is found in both plants and mammals, and this protein is 99% identical to the mouse, rat and sheep orthologs. The encoded protein interacts with IRS1 protein, suggesting a role in regulating insulin sensitivity. Several transcript variants that differ in the 5' UTR but that encode the same protein have been identified for this gene.

Application Notes

Optimal dilution of the 14-3-3 zeta antibody should be determined by the researcher.

Immunogen

Amino acids LLEKFLIPNASQAESKVFYLKMKGDYYRYLAEVAAGDDKKGIVDQ were used as the immunogen for the 14-3-3 zeta antibody.

Storage

After reconstitution, the 14-3-3 zeta antibody can be stored for up to one month at 4oC. For long-term, aliquot and store at -20oC. Avoid repeated freezing and thawing.

Cross
Bulk Quote Request Form
Name*:
Organization*:
Email*:
Phone Number*:
Catalog No.*:
Comments and Specifics(amount, formulation, etc.)*:
Validation code: Captchapackage Image


Can't read the image? click here to refresh.
    *required field

Your bulk quote request has been submitted successfully!

Please contact us if you have any questions.