• Tel: 858.663.9055
  • SeparatorEmail: info@nsjbio.com
  • Tel: 858.663.9055
  • Email: info@nsjbio.com
Home >> Antibodies >> 14-3-3 sigma Antibody

14-3-3 sigma Antibody (R30895)

  Catalog No Formulation Size Price (USD)  
Image R30895 0.5mg/ml if reconstituted with 0.2ml sterile DI water 100 ug 439
Bulk quote request
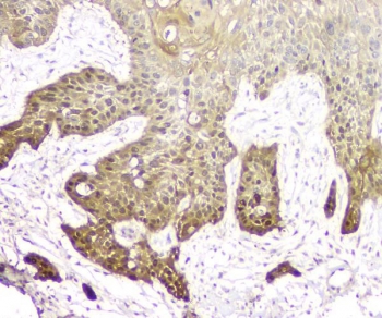
IHC staining of FFPE human esophagus squama cancer with 14-3-3 sigma antibody. HIER: boil tissue sections in pH8 EDTA for 20 min and allow to cool before testing.
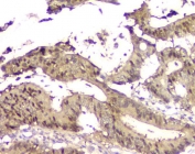
IHC-P: 14-3-3 sigma antibody testing of human tonsil tissue. HIER: boil tissue sections in pH6, 10mM citrate buffer, for 20 min and allow to cool before testing.
IHC-P: 14-3-3 sigma antibody testing of human tonsil tissue. HIER: boil tissue sections in pH6, 10mM citrate buffer, for 20 min and allow to cool before testing.
IHC-P: 14-3-3 sigma antibody testing of human oesophagus squama cancer tissue. HIER: boil tissue sections in pH6, 10mM citrate buffer, for 20 min and allow to cool before testing.
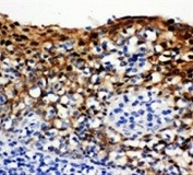
IHC staining of FFPE human intestinal cancer with 14-3-3 sigma antibody. HIER: boil tissue sections in pH8 EDTA for 20 min and allow to cool before testing.
IHC staining of FFPE human breast cancer with 14-3-3 sigma antibody. HIER: boil tissue sections in pH8 EDTA for 20 min and allow to cool before testing.
Immunofluorescent staining of FFPE human U-2 OS cells with 14-3-3 sigma antibody (red) and DAPI nuclear stain (blue). HIER: steam section in pH6 citrate buffer for 20 min.
Immunofluorescent staining of FFPE human U-2 OS cells with 14-3-3 sigma antibody (green) and DAPI nuclear stain (blue). HIER: steam section in pH6 citrate buffer for 20 min.
Western blot testing of 1) human HeLa, 2) human PC-3, 3) rat brain and 4) mouse brain lysate with 14-3-3 sigma antibody. Predicted molecular weight: ~28 kDa.
Flow cytometry testing of human U-2 OS cells with 14-3-3 sigma antibody at 1ug/million cells (blocked with goat sera); Red=cells alone, Green=isotype control, Blue= 14-3-3 sigma antibody.
Availability 1-3 business days
Species Reactivity Human, Mouse, Rat
Format Antigen affinity purified
Clonality Polyclonal (rabbit origin)
Isotype Rabbit IgG
Purity Antigen affinity
Buffer Lyophilized from 1X PBS with 2% Trehalose
UniProt P31947
Applications Western Blot : 0.5-1ug/ml
Immunohistochemistry (FFPE) : 0.5-1ug/ml
Immunofluorescence (FFPE) : 2-4ug/ml
Flow Cytometry : 1-3ug/million cells
Limitations This 14-3-3 sigma antibody is available for research use only.
Review this product on BioCompare and get a $20 Amazon gift card

Related Products

Description

Stratifin (SFN), also known as 14-3-3 sigma, is strongly induced by gamma irradiation and other DNA-damaging agents. The induction of 14-3-3-sigma is mediated by a p53 -responsive element located 1.8 kb upstream of its transcription start site. Leffers et al obtained a peptide sequence and subsequently cloned a T-cell cDNA of the 14-3-3 family of conserved proteins. The protein called stratifin was shown to be diffusely distributed in the cytoplasm and was present in cultured epithelial cells. It was most abundant in tissues enriched in stratified keratinizing epithelium.

Application Notes

The stated application concentrations are suggested starting amounts. Titration of the 14-3-3 sigma antibody may be required due to differences in protocols and secondary/substrate sensitivity.

Immunogen

Amino acids 140-156 (KKRIIDSARSAYQEAMD) were used as the immunogen for this 14-3-3 sigma antibody (100% homologous in human, mouse and rat).

Storage

After reconstitution, the 14-3-3 sigma antibody can be stored for up to one month at 4oC. For long-term, aliquot and store at -20oC. Avoid repeated freezing and thawing.

Cross
Bulk Quote Request Form
Name*:
Organization*:
Email*:
Phone Number*:
Catalog No.*:
Comments and Specifics(amount, formulation, etc.)*:
Validation code: Captchapackage Image


Can't read the image? click here to refresh.
    *required field

Your bulk quote request has been submitted successfully!

Please contact us if you have any questions.