• Tel: 858.663.9055
  • SeparatorEmail: info@nsjbio.com
  • Tel: 858.663.9055
  • Email: info@nsjbio.com
Home >> Antibodies >> 14-3-3 epsilon Antibody / YWHAE

14-3-3 epsilon Antibody / YWHAE (RQ5785)

  Catalog No Formulation Size Price (USD)  
Image RQ5785 0.5mg/ml if reconstituted with 0.2ml sterile DI water 100 ug 439
Bulk quote request
Immunofluorescent staining of FFPE human MCF7 cells with 14-3-3 epsilon antibody (green) and DAPI nuclear stain (blue). HIER: steam section in pH6 citrate buffer for 20 min.
IHC staining of FFPE rat brain with 14-3-3 epsilon antibody. HIER: boil tissue sections in pH8 EDTA for 20 min and allow to cool before testing.
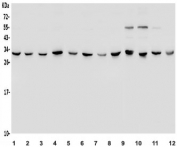
Western blot testing of human 1) HeLa, 2) Jurkat, 3) HepG2, 4) SH-SY5Y, 5) HEK293, 6) SW620, 7) A549, 8) Raji, 9) rat brain, 10) mouse brain, 11) mouse NIH 3T3 and 12) mouse RAW264.7 lysate with 14-3-3 epsilon antibody. Predicted molecular weight ~28 kDa.
Flow cytometry testing of human A549 cells with 14-3-3 epsilon antibody at 1ug/million cells (blocked with goat sera); Red=cells alone, Green=isotype control, Blue= 14-3-3 epsilon antibody.
Availability 1-3 business days
Species Reactivity Human, Mouse, Rat
Format Antigen affinity purified
Clonality Polyclonal (rabbit origin)
Isotype Rabbit IgG
Purity Affinity purified
Buffer Lyophilized from 1X PBS with 2% Trehalose and 0.025% sodium azide
UniProt P62258
Localization Nuclear, cytoplasmic
Applications Western Blot : 0.5-1ug/ml
Immunohistochemistry : 1-2ug/ml
Flow Cytometry : 1-3ug/million cells
Immunofluorescence : 2-4ug/ml
Direct ELISA : 0.1-0.5ug/ml
Limitations This 14-3-3 epsilon antibody is available for research use only.
Review this product on BioCompare and get a $20 Amazon gift card

Related Products

Description

14-3-3 protein epsilon is a protein that in humans is encoded by the YWHAE gene. This gene product belongs to the 14-3-3 family of proteins which mediate signal transduction by binding to phosphoserine-containing proteins. This highly conserved protein family is found in both plants and mammals, and this protein is 100% identical to the mouse ortholog. It interacts with CDC25 phosphatases, RAF1 and IRS1 proteins, suggesting its role in diverse biochemical activities related to signal transduction, such as cell division and regulation of insulin sensitivity. It has also been implicated in the pathogenesis of small cell lung cancer. Two transcript variants, one protein-coding and the other non-protein-coding, have been found for this gene.

Application Notes

Optimal dilution of the 14-3-3 epsilon antibody should be determined by the researcher.

Immunogen

Recombinant human protein (amino acids M1-Q255) was used as the immunogen for the 14-3-3 epsilon antibody.

Storage

After reconstitution, the 14-3-3 epsilon antibody can be stored for up to one month at 4oC. For long-term, aliquot and store at -20oC. Avoid repeated freezing and thawing.

Cross
Bulk Quote Request Form
Name*:
Organization*:
Email*:
Phone Number*:
Catalog No.*:
Comments and Specifics(amount, formulation, etc.)*:
Validation code: Captchapackage Image


Can't read the image? click here to refresh.
    *required field

Your bulk quote request has been submitted successfully!

Please contact us if you have any questions.