Tel: 858.663.9055
Email: info@nsjbio.com
Tel: 858.663.9055
Email: info@nsjbio.com
My Cart (0)
Antibodies
Protocols
About Us
Distributors
Contact Us
Order
Toggle navigation
Menu
Antibodies
Protocols
About Us
Distributors
Contact Us
Order
Search results for
RIG1
There are no search results with an exact match of
RIG1
. Related results are displayed below.
ROBO3 Antibody / RIG1 / Retinoblastoma inhibiting gene 1
Catalog No
:
R35750
Applications
:
WB, ELISA (peptide)
Reactivity
:
Human
Pred. Reactivity
:
Cow, Dog, Pig
Format
:
Antigen affinity purified
RRID
:
Powered by Bioz
‹
›
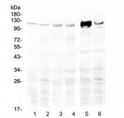
RIG-1 Antibody / DDX58
Catalog No
:
FY12200
Applications
:
WB, IHC, FACS, ELISA
Reactivity
:
Human
Pred. Reactivity
:
Format
:
Lyophilized
RRID
:
Powered by Bioz
‹
›
PLAAT4 Antibody / RARRES3
Catalog No
:
FY12877
Applications
:
WB, IHC, ICC/IF, ELISA
Reactivity
:
Human, Mouse, Rat
Pred. Reactivity
:
Format
:
Lyophilized
RRID
:
Powered by Bioz
‹
›
RIG-I Antibody / DDX58
Catalog No
:
F46991
Applications
:
WB, ELISA
Reactivity
:
Human, Mouse
Pred. Reactivity
:
Format
:
Purified
RRID
:
Powered by Bioz
‹
›
RIG-I Antibody / DDX58
Catalog No
:
F46992
Applications
:
WB, ELISA
Reactivity
:
Human
Pred. Reactivity
:
Format
:
Purified
RRID
:
Powered by Bioz
‹
›
RIG-I Antibody / DDX58
Catalog No
:
R32826
Applications
:
WB
Reactivity
:
Human, Mouse, Rat
Pred. Reactivity
:
Format
:
Antigen affinity purified
RRID
:
Powered by Bioz
‹
›
RIG-I Antibody / DDX58 (clone ACEA-4)
Catalog No
:
RQ4812
Applications
:
WB
Reactivity
:
Human
Pred. Reactivity
:
Format
:
Purified
RRID
:
Powered by Bioz
‹
›